Содержание
Опасным заболеванием, которое способно лишить человека жизни, является пневмония, затемнение легкого, проявляющееся на рентгеновском снимке, может быть признаком не только воспалительного процесса, но и других более серьезных патологических изменений. Чтобы вовремя выявить болезнь, необходимо регулярно проходить профилактическое медицинское обследование. Флюорография или рентген покажут изменения, если они есть. Одного снимка, как правило, недостаточно для установления точного диагноза. Врач назначает дополнительные процедуры, которые помогают выяснить причину затемнения в легких. Только после проведения полного комплекса диагностики доктор назначает курс терапии.
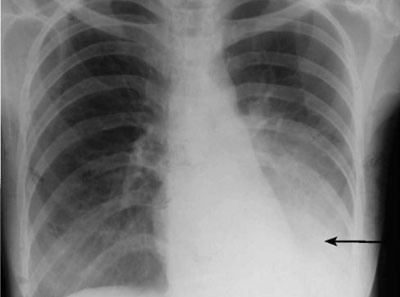
О чем говорит затемнение
Все процессы в человеческом организме тесно взаимосвязаны. Нарушение работы одного органа может повлиять на функционирование другого. Таким образом, темные пятна на рентгеновских снимках легких могут говорить о развитии патологических процессов в близлежащих органах. Однако чаще всего затемнение в легких характерно именно для легочных изменений.
В норме кислород полностью заполняет полость легкого. При поражении тканей воздух не может попасть в определенную часть органа. Образовывается уплотнение, которое может иметь разную форму и размер. Это уплотнение и является затемнением на снимке. Его природа может быть самой разной. Наиболее часто этот показатель свидетельствует о развитии пневмонии. Хороший специалист без труда поймет это.
В ряде случаев возникает необходимость дополнительных лабораторных исследований. О том, нужно ли проводить нестандартные диагностические процедуры, должен сообщить лечащий врач. Подобная клиническая картина является признаком таких заболеваний и нарушений, как:
- наличие в организме паразитов;
- туберкулома;
- туберкулез;
- бронхиальная астма;
- прием определенных медикаментов;
- кисты;
- доброкачественные новообразования;
- злокачественные опухоли;
- костная мозоль;
- наличие инородного тела внутри легкого;
- стеноз центрального бронха.
Для каждого из вышеперечисленных нарушений характерным является определенный вид затемнения. Данная информация позволяет многое узнать о характере нарушения. В современной медицине различают такие виды потемнения:
- долевое;
- сегментарное;
- с наличием жидкости;
- очаговое;
- без определенной формы;
- фокусное.
Врач делает выводы на основании тщательного осмотра рентгеновского снимка или результатов флюорографического исследования. Соотнеся вид затемнений и жалобы пациента, доктор выбирает тактику дальнейшего обследования и лечения.
Клиническая картина
Пневмония – одно из самых распространенных заболеваний. При своевременном обращении за медицинской помощью от нее можно полностью избавиться. Осложнения появляются только в том случае, если у пациента запущенная форма и присутствуют хронические воспалительные процессы.
Различают вирусную и бактериальную пневмонию. Вирусная форма встречается, как правило, зимой. Она развивается постепенно, не причиняя больному особого дискомфорта. Бактериальная форма является более тяжелой. Это следствие невылеченного гриппа, фарингита, ангины и других заболеваний дыхательных путей. Проявляется такая пневмония остро и развивается быстро, чаще дает осложнения.
Симптомы вирусной пневмонии легко спутать с проявлениями гриппа или обыкновенной простуды. Чтобы не запустить болезнь, надо немедленно обращаться к доктору. Врач назначит пройти необходимые процедуры для выявления истинного диагноза. О наличии вирусной формы заболевания свидетельствуют такие признаки:
- повышенная температура тела;
- сухой кашель;
- общее недомогание;
- мышечная слабость;
- одышка;
- сильная мигрень.
Воспаление легких бактериального характера проявляется всегда остро. Его, как правило, невозможно спутать с простудным заболеванием или гриппом. У больного проявляются следующие симптомы:
- сильная лихорадка;
- отделение густой мокроты рыжеватого или зеленоватого цвета;
- острая боль в области грудной клетки;
- дрожь;
- тахикардия;
- потоотделение;
- свидетельствующее о недостатке кислорода посинение губ и ногтей.
Если у больного проявляются вышеперечисленные симптомы, то нужно немедленно вызывать скорую помощь. Пациента госпитализируют и окажут грамотную медицинскую поддержку. Своевременно начатое лечение гарантирует полноценное выздоровление и отсутствие осложнений в дальнейшем.
Лечение и профилактика
Нарушение легочной функции и отсутствие адекватной терапии на ранних стадиях развития болезни может стать причиной возникновения осложнений. У людей, которые перенесли воспаление легких, часто отмечаются воспаление плевры, гнойные процессы, отеки, нарушения дыхания, сухой кашель.
Чтобы избежать подобных последствий, нужно своевременно обращаться к врачу. Если отмечаются симптомы, свидетельствующие о возможной патологии, необходимо незамедлительно идти в больницу или поликлинику. При наличии повышенной температуры рекомендуется принять жаропонижающее до визита к доктору.
После рентгенографии, анализа крови, мочи и мокроты врач назначает курс лечения.
Если дело касается бактериальной пневмонии, то лечение проводят в стационарной форме.
Профилактика заключается в вакцинации, правильном питании, поддерживании здорового образа жизни. Немаловажную роль играет соблюдение гигиены, особенно в зимне-весенний период. Врачи рекомендуют мыть руки с мылом как можно чаще, чтобы избавляться от патогенной микрофлоры. Внимательное отношение к здоровью и забота о своем теле гарантируют крепкий иммунитет и стойкость организма по отношению ко многим заболеваниям.
Частые вопросы
Что такое затемнение легкого на рентгене или флюорографии?
Затемнение легкого на рентгене или флюорографии представляет собой изменение плотности легочной ткани, которое может указывать на наличие патологических процессов в легких, включая пневмонию.
Какие причины могут вызвать затемнение легкого на рентгене или флюорографии?
Затемнение легкого может быть вызвано различными причинами, включая воспалительные процессы, опухоли, кровоизлияния, кисты, туберкулез, пневмонию и другие заболевания.
Как связано затемнение легкого с пневмонией, какие симптомы, лечение и диагностика связаны с этим состоянием?
Затемнение легкого может быть одним из признаков пневмонии, о чем свидетельствуют клинические симптомы, такие как кашель, одышка, боль в груди, лихорадка. Для диагностики и лечения необходимо обратиться к врачу, который назначит дополнительные методы обследования (рентген, компьютерная томография) и подберет соответствующую терапию в зависимости от выявленного диагноза.
Полезные советы
СОВЕТ №1
При появлении симптомов пневмонии, таких как кашель, боль в груди, затрудненное дыхание, обязательно обратитесь к врачу для проведения диагностики.
СОВЕТ №2
Следите за своим здоровьем и регулярно проходите профилактические флюорографии, особенно если у вас есть факторы риска для заболеваний легких, такие как курение или работа в пыльных условиях.
СОВЕТ №3
При лечении пневмонии обязательно выполняйте все рекомендации врача, принимайте прописанные препараты и следуйте рекомендациям по режиму и питанию.





(голосов: 4, средняя оценка: 3,25 из 5)