Содержание
К наиболее тяжелым формам воспаления легких относится гнойно-деструктивная пневмония. Это заболевание характеризуется воспалением и разрушением тканей. Воспаление легких ежегодно диагностируется у миллионов людей. В большинстве случаев заболевание протекает в легкой или средней степени тяжести. Данная форма болезни отличается острым течением и частым развитием осложнений (формированием абсцессов, эмпиемы плевры, пиопневмоторакса). Почему развивается и как проявляется гнойная пневмония у детей и взрослых?
Отличительные черты
Деструктивная пневмония характеризуется скоплением в тканях легких гноя. Последний представляет собой продукт распада различных клеток и клеточных структур. Синонимом гнойно-деструктивного воспаления является бактериальная деструкция. Данная патология развивается на фоне простой бактериальной пневмонии. Гнойная деструкция очень часто наблюдается у больных детей. У каждого десятого больного пневмонией ребенка развиваются гнойные осложнения. Высок процент летального исхода. Он составляет 2-4%. Эта форма воспаления легких нередко развивается и у взрослых. В группу риска входят молодые мужчины в возрасте от 20 до 40 лет.
Чаще всего наблюдается одностороннее поражение. При этом страдает правое легкое. У 1-5% больных отмечается двустороннее поражение. В данной ситуации состояние больных является наиболее тяжелым, так как второе легкое не в состоянии компенсировать дыхательную недостаточность. Различают легочные и легочно-плевральные формы данного патологического состояния. К ним относится инфильтративно-деструктивная форма, абсцедирующая пневмония, гнойный лобит, буллезная форма. При вовлечении в процесс плевры развивается пиопневмоторакс, пиоторакс, пневмоторакс. Легочные формы встречаются реже легочно-плевральных. В зависимости от наличия осложнений гнойно-деструктивные пневмонии подразделяются на осложненные и неосложненные. Течение заболевания чаще всего острое. Реже оно является затяжным или септическим.
Основные этиологические факторы
Гнойная деструктивная пневмония развивается на фоне бактериального воспаления легочной ткани. Выделяют следующие причины воспаления:
- проникновение в орган патогенных микроорганизмов;
- заболевания верхних дыхательных путей;
- бронхиты;
- переохлаждение.
К факторам риска развития болезни у взрослых относится курение, алкоголизм, наркомания, сепсис, наличие сахарного диабета, ВИЧ-инфекции или гепатита, употребление наркотических средств. Дети в большей степени подвержены развитию пневмонии. К предрасполагающим факторам воспаления легких у детей относится недоношенность, асфиксия во время вынашивания малыша, респираторные заболевания (грипп), наличие аденоидов, септикопиемия, родовые травмы.
Деструктивная пневмония в большинстве случаев вызывается стафилококками. В детском возрасте часто наблюдается смешанная (вирусно-бактериальная) инфекция. При этом первостепенную роль играют вирусы гриппа, стафилококки и пневмококки. Бактериальная деструкция легких часто развивается на фоне инфицирования организма палочками Пфейффера и Фридлендера. К другим возможным возбудителям болезни относятся пневмококки. Микробы проникают в легочную ткань при аспирации жидкости или через воздух.
Проникновение микроорганизмов возможно из других гнойных очагов. Это происходит при наличии у человека остеомиелита или фурункулов. К факторам риска развития гнойно-деструктивной пневмонии относятся профессиональная вредность (вдыхание пыли и различных токсических веществ), эпилепсия, инсульт. Причиной гнойного воспаления может стать травма легкого. К этиологическим факторам относится наличие свищей между пищеводом и бронхами.
Механизм воспалительного процесса
Развитие гнойного воспалительного процесса возможно по двум основным механизмам: первичному (бронхогенному) и вторичному. Первичная деструкция развивается при проникновении возбудителя через верхние дыхательные пути и бронхи в легочную ткань. Активному распространению и размножению микроорганизмов способствует снижение сопротивляемости организма. На фоне этого развивается отек слизистой бронхов. Вследствие расширения кровеносных сосудов наблюдается гиперемия слизистой. Все это приводит к накоплению мокроты и нарушению вентиляции. Гиповентиляция становится причиной воспаления легочной ткани.
При пневмонии страдает микроциркуляция. Повышается интенсивность коагуляции. Образуются мелкие тромбы. Формируются микроэмболии. Деструкция развивается на фоне воздействия на ткани различных ферментов и токсинов, синтезируемых микроорганизмами. Эти вещества оказывают цитолитическое действую, разрушая перегородки между альвеолами. Процесс деструкции тканей протекает в несколько стадий. На 1 стадии наблюдается инфильтрация паренхимы легкого.
Протекает этот процесс по типу гнойного воспаления доли легкого или по типу очагово-сливной пневмонии. Эта стадия длится несколько дней (до 2 недель). На 2 стадии происходит некроз тканей. Некротические массы отторгаются. При этом образуются полости, заполненные гноем. У одних больных деструкция наблюдается только в пределах легкого. Это интрапульмональная форма гнойной деструкции. У других больных патологический процесс распространяется на плевру и плевральную полость.
Как проявляется?
Гнойная деструктивная пневмония протекает тяжело. Первичная форма заболевания характеризуется следующими признаками:
- высокой температурой (38-39 градусов);
- ознобом;
- слабостью;
- повышенной потливостью;
- сухим кашлем;
- одышкой;
- цианозом;
- болью в грудной клетке;
- адинамией;
- частым сердцебиением;
- головной болью;
- тошнотой;
- рвотой;
- снижением массы тела;
- миалгией.
Особенность протекания деструктивного воспаления в том, что симптомы деструкции возникают на фоне улучшения самочувствия больного, когда острые симптомы воспаления начинают стихать. Кашель сначала сухой, затем он становится продуктивным. Количество выделяемой мокроты постепенно увеличивается. В редких случаях наблюдается кровохарканье. В этом случае необходимо исключить туберкулез. Если имеется абсцесс, и он прорывается в просвет бронхов, то наблюдается отделение гнойной мокроты.
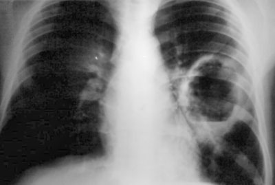
Откашливание гнойной мокроты приводит к облегчению состояния больного. Обусловлено это восстановлением проходимости бронхов. Часто это сопровождается неприятным запахом изо рта. В стадию преддеструкции рентгенологическое исследование часто является малоинформативным. При деструкции удается выявить очаг гнойного воспаления. Очень тяжелым течением характеризуется гнойной лобит. При этом страдает целая доля одного или обоих легких. У детей при лобите ярко выражен интоксикационный синдром, и выявляются признаки острой дыхательной недостаточности (боль в груди, цианоз, тахикардия). В детском возрасте выше вероятность вовлечения в процесс плевры. При воспалении плевры образуется жидкий экссудат. Затем развивается гнойно-фиброзная стадия. Исходом гнойного плеврита является хроническая эмпиема плевры.
Характеристика абсцедирующей пневмонии
Абсцедирующая пневмония – это клиническая форма гнойно-деструктивного воспаления, при которой в легких формируются небольшие гнойные очаги. Ее нужно отличать от абсцесса легкого. При абсцессе гнойные очаги более крупные. Они имеют величину более 2 см. Абсцедирующая пневмония чаще всего протекает по типу очагового воспаления легких. Заболевание характеризуется следующими признаками:
- лихорадкой в сочетании с ознобом;
- анорексией;
- адинамией;
- участием в акте дыхания вспомогательной мускулатуры;
- одышкой;
- цианозом;
- заторможенностью больного;
- спутанностью сознания.
Выделяют стадию образования и вскрытия гнойников. Если дренирования не происходит, то симптомы могут сохраняться длительное время. При этом высока вероятность осложнений. Абсцедирующая пневмония может привести к следующим осложнениям:
- воспалению околосердечной сумки;
- гнойному воспалению клетчатки средостения;
- скоплению воздуха и гноя в плевральной полости;
- эмпиеме плевры;
- гнойному воспалению суставов;
- сепсису;
- ателектазу.
Прогноз зависит от своевременности обращения к врачу и госпитализации.
План обследования пациента
При подозрении на пневмонию следует обратиться к пульмонологу, терапевту или педиатру. Требуется провести следующие исследования:
- общий и биохимический анализ крови;
- анализ мочи;
- микроскопическое исследование мокроты;
- бронхоскопию;
- рентгенологическое исследование легких;
- УЗИ плевральной полости;
- ЭКГ.
При необходимости осуществляется исследование жидкости, взятой в процессе пункции. Анализ крови позволяет выявить следующие признаки воспаления: лейкоцитоз, ускорение СОЭ, повышение концентрации сиаловой кислоты, фибрина, серомукоида. При абсцедирующей пневмонии нередко обнаруживается токсичная зернистость нейтрофилов. После дренирования абсцесса показатели крови улучшаются. Высокий уровень глобулинов в крови указывает на переход болезни в хроническую форму.
При исследовании мокроты определяется вид возбудителя, оценивается содержание атипичных клеток, волокон, жирных кислот. Для исключения туберкулеза может проводиться проба Манту или Диаскинтест. Выявить воспаление и деструкцию тканей легкого можно при помощи рентгенографии. Альтернативным методом диагностики является томография. Немаловажное значение имеет физикальное исследование. При перкуссии определяется тупой звук. При выслушивании легких удается выявить ослабление дыхания, наличие хрипов (при обструкции бронхов). В ходе внешнего осмотра выявляется деформация грудной клетки, отставание в акте дыхания пораженной стороны грудной клетки.
Лечебная тактика
При выявлении гнойно-деструктивной пневмонии больной обязательно подлежит госпитализации. Лечение может быть консервативным и радикальным.
Антибиотики нужно вводить инъекционным способом. Внутривенное введение наиболее эффективно. При нем высокий процент биодоступности лекарства и наиболее быстрое поступление антибиотика в общий кровоток.
Наиболее эффективны антибиотики из группы фторхинолонов, макролидов, цефалоспоринов и карбапенемов. Антибиотики можно вводить в плевральную полость. Для повышения иммунитета вводится гамма-глобулин, иммуномодуляторы. В фазу острого гнойного процесса нельзя использовать физиотерапию. Она применяется в фазу выздоровления больного. Это касается и лечебной физкультуры. При необходимости в схему лечения включают лечебные пункции и дренирование плевральной полости. По показаниям применяется антистафилококковый иммуноглобулин.
Для улучшения оттока мокроты и ее разжижения применяются такие лекарства, как Лазолвал, Амбробене, Бромгексин, Ацетилцистеин, Амброксол. В течение дня больному рекомендуется принимать вынужденное положение тела для улучшения выведения мокроты. При абсцедирующей пневмонии при неэффективности простого дренирования проводится бронхоальвеолярный лаваш. Он представляет собой бронхоскопию в сочетании с аспирацией полостей и их промыванием антисептическими растворами. Если у ребенка развился плеврит, то может быть назначен внутриплевральный фибринолиз. В тяжелых случаях проводится хирургическое лечение (резекция легкого). Таким образом, гнойная деструктивная пневмония представляет опасность для больного и нередко приводит к летальному исходу.
Частые вопросы
Каковы причины возникновения гнойно-деструктивной пневмонии?
Гнойно-деструктивная пневмония может быть вызвана различными микроорганизмами, такими как бактерии, вирусы, грибы или паразиты. Она часто развивается как осложнение при других заболеваниях легких или при нарушении защитных функций организма.
Какие симптомы сопровождают гнойно-деструктивную пневмонию?
Симптомы гнойно-деструктивной пневмонии могут включать высокую температуру, кашель с мокротой, боль в груди, одышку, слабость, потерю аппетита и веса. У детей симптомы могут проявляться более неспецифично, что усложняет диагностику.
Полезные советы
СОВЕТ №1
При появлении симптомов гнойно-деструктивной пневмонии, обратитесь к врачу немедленно. Не пытайтесь лечиться самостоятельно, так как это состояние требует профессионального медицинского вмешательства.
СОВЕТ №2
Поддерживайте свой иммунитет: правильное питание, физическая активность, отказ от вредных привычек помогут укрепить защитные функции организма и снизить риск заболевания гнойно-деструктивной пневмонией.
СОВЕТ №3
При наличии факторов риска (например, курение, хронические заболевания дыхательной системы) регулярно проходите профилактические осмотры у врача-пульмонолога и следуйте его рекомендациям для предотвращения развития гнойно-деструктивной пневмонии.






