Содержание
- экссудативный (мокрый, выпотной, свободный);
- фибринозный (сухой);
- осумкованный.
Что влияет на рентгенологическую картину легочного плеврита
Рентген-картина плеврита формируется в зависимости от:
- количества жидкости в плевральной полости при экссудативном типе заболевания;
- размеров и интенсивности затемнения при сухом типе.
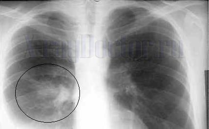
Наличие небольших скоплений выпотной жидкости (экссудата) в проекции заднего реберно-диафрагмального синуса может не диагностироваться рентгенологически, поэтому дополнительно к нему применяется УЗИ.
Из-за анатомических особенностей грудной клетки при пропотевании экссудата в плевральную полость вначале жидкость скапливается над диафрагмой в виде узкой полосы, которая не определяется рентгеновскими методами. Когда количество жидкости достигнет 250 мл, ее можно обнаружить на рентгенограмме в области реберно-диафрагмального синуса (см. рисунок).

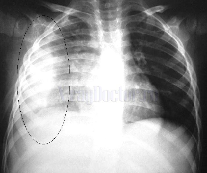
Фибринозный сухой плеврит появляется вследствие значительного скопления фибрина в местах повреждения плевры. При нем экссудативный компонент не выражен, поэтому на начальных стадиях патологию с помощью рентгена выявить можно только при анализе анамнеза пациента, который может указать локализованную болевую точку в грудной клетке.
С течением времени в местах отложения фибрина скапливается кальций, поэтому на рентгеновских снимках прослеживаются интенсивные тени. Они не рассасываются и остаются у человека на всю жизнь, а рентгенологи в таких случаях ставят пометку в паспорт регистрации дозовых нагрузок о наличии у человека рентгенопозитивных теней (см. рисунок).

Некоторые врачи выделяют еще одну форму воспалительных изменений легочной плевры – гнойную (эмпиема плевры).
Рентген-картина при патологии представляет собой обширную область затемнения с неровными размытыми контурами, которая постепенно увеличивается в размерах, отражая прогрессирование патологии (см. рентгенограмму).

После излечения гнойного плеврита нередко остаются рубцы или спайки, которые также постоянно будут прослеживаться при выполнении рентгенографии органов грудной клетки.
Рентген-синдромы плевритов легких
Легочной плеврит определяется на снимке по следующим рентген-симптомам:
- Субтотальное или тотальное снижение пневматизации (прозрачности) легочного поля – однородное интенсивное затемнение в грудной клетке справа или слева с верхней косой линией (Дамуазо-Соколова-Эллиса).
- Смещение тени средостения в противоположную сторону.
- Рентген-симптом Ленка – если выполнить снимок пациенту в горизонтальном положении или при наклоне в сторону (положение Тренделенбурга), жидкость растекается по плевральной полости, формируя однородное равномерное затемнение.
- Мнимое ощущение высокого стояния купола диафрагмы – при незначительном скоплении инфильтративной жидкости в реберно-диафрагмальном синусе.
- Уменьшение подвижности диафрагмы при выполнении рентгеноскопии (просвечивание с визуализацией на телевизоре) – косвенный признак воспаления плевры.
- Увеличение расстояния между пузырем желудка и началом легочного поля слева. Величина не должна превышать 0,5 см, но при выявлении жидкости она увеличивается до 2 см и более.
- При латерографии (выполнении рентген-снимка на боку) жидкость растекается по нижней части грудной клетки.

Как описать плеврит на рентгенограмме
Существует унифицированная рентген-техника описания плевритов (экссудативных и фибринозных), позволяющая врачам не пропустить ни одной детали патологии на рентгенограмме.
Общая схема описания рентген-протокола описания плевритов:
- Тени грудино-ключичных сочленений и грудных мышц.
- Костная система.
- Расположение куполов диафрагмы.
- Синусы.
- Корни легких.
- Легочные поля.
- Междолевые щели.
- Средостение.
- Дополнительные томограммы.
Вышеописанная последовательность чтения рентгенограммы при экссудативных плевритах является наиболее оптимальной, так как позволяет постепенно изучить изменения в структурах, которые может затрагивать воспаление плевральных листков. Тем не менее на практике каждый врач-рентгенолог формирует свои принципы к расшифровке рентгенограмм.
Общий анализ изменений на рентгенограмме при экссудативном плеврите
Экссудативный плеврит является частой патологией, которая обнаруживается при выполнении рентгенографии органов грудной клетки. Вследствие этого приведем анализ рентгенологического заключения при наличии эмпиемы плевры справа (см. рентгенограмму 3).
Описание снимка:
Паракостально справа определяется полуверетенообразная тень, которая широким основанием прилегает к переднему, наружному и заднему краю ребер. В сторону легкого обращено широкое основание образования. Контур затемнения сильно подчеркнут, а структура затемнения однородная. Наибольшая интенсивность тени – в центре. В периферической зоне отмечается плавный переход затемнения на соседние зоны с образованием «тупых» углов. Пристеночная плевра утолщена на большом расстоянии.
Заключение:
Рентген-признаки эмпиемы плевры справа.
Рекомендовано:
Рентгенологический контроль в динамике, так как нельзя исключить опухолевый генез плеврита.
Анализируя вышеописанное развернутое описание снимка врачом-рентгенологом, становится понятна интенсивность и локализация образования, но его размеры специалист не указал. Конечно, планируя, что пациент будет выполнять последующие рентгенограммы у него, врач сможет оценить динамику, но человек же может обратиться и в другое медицинское заведение. Очевидно, что «золотые стандарты легочного анализа» следует выполнять. Любая тень должна быть описана по алгоритму «ПоЧиФоРа и ИнРиКоС», что при расшифровке означает:
- положение;
- число;
- форма;
- размеры;
- интенсивность;
- рисунок;
- контуры;
- смещаемость.
Если проанализировать рентгенограмму, очевидно, что тень сердца несколько смещена влево, а правый купол диафрагмы приподнят, что наводит на мысль о возможности наличия опухолевого образования. Следовательно, пациент нуждается в дополнительных исследованиях: рентгенографии органов грудной клетки в правой боковой проекции, томографии.
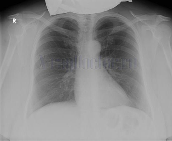
В заключение, чтобы «набить» глаз, приводим нормальную рентгенограмму легких для сравнения.

Несмотря на то что экссудативный плеврит на рентгенограмме визуализируется четко, нельзя упускать из виду, что он может быть последствием других заболеваний (опухолей, туберкулеза). Стандартом при выявлении заболеваний легких является рентгенография органов грудной клетки в двух проекциях, и ее необходимо выполнять.
Частые вопросы
Как можно отличить фибринозный плеврит от экссудативного на рентгеновском снимке?
Фибринозный плеврит на рентгене обычно проявляется как линейные или паутиновидные тени, которые могут быть видны вдоль внутренней поверхности грудной стенки. Экссудативный плеврит, напротив, проявляется как наличие жидкости в плевральной полости, что может привести к затемнению или затруднению визуализации диафрагмы и легкого.
Какие дополнительные признаки на рентгеновском снимке могут помочь в диагностике плеврита?
Помимо вышеперечисленных признаков, при диагностике плеврита на рентгеновском снимке также могут быть обнаружены утолщение плевры, признаки воспаления легкого, ателектаз (коллапс легкого) или пневмоторакс (накопление воздуха в плевральной полости).
Полезные советы
СОВЕТ №1
При анализе рентгеновских снимков плеврита обратите внимание на наличие темных областей, которые могут указывать на фибринозный плеврит, и на наличие белых пятен, характерных для экссудативного плеврита.
СОВЕТ №2
Оцените степень затемнения легочной ткани в области плеврита, так как это может помочь определить степень воспаления и выбрать соответствующее лечение.

