Содержание
Одним из самых серьезных и опасных заболеваний является воспаление легких (пневмония). При появлении первых симптомов пациента сразу же направляют в больницу. Это связано с тем, что заболевание может вызвать тяжелые последствия, и необходимо быстро распознать пневмонию.
Главными причинами болезни являются бактериально-вирусная и грибковая инфекции. Эти инфекции поражают клетки легочной ткани. Как правило, их возбудителями являются стрептококки, стафилококки, пневмококки, микоплазмы, вирусы гриппа и другие. Чаще всего пневмония является следствием воспалительного процесса в верхних участках дыхательных путей взрослого человека.
В редких случаях болезнь прогрессирует именно с легочных тканей. Этому могут способствовать низкая защита иммунной системы, переохлаждение, ожоги дыхательных путей, отравление химическими веществами и др. Проявления заболевания могут иметь острый и хронический характер. Острая пневмония, в свою очередь, бывает очаговой и крупозной формы.
Симптомы крупозного воспаления
Для крупозного воспаления свойственно нарушение работы всей доли легкого, которое появляется вследствие воздействия пневмококков. Пневмонии у взрослых начинаются неожиданно с симптомов воспалительного процесса в легких.
При каждом вдохе или кашле боль в боку становится сильнее. Практически одновременно начинается одышка, и добавляется редкий сухой кашель. Сила кашля со временем может увеличиваться, пока он не станет постоянным.
Очень важно наблюдать за внешним видом взрослого пациента. У него могут быть красные щеки или пятна такого же цвета, которые располагаются со стороны больного легкого, большие ноздри, губы синеватого оттенка. Потеря сознания и бредовые высказывания являются последствиями пневмонии (подробнее об этом тут). Спустя 2-3 суток меняется тип кашля на менее сухой, выделяется немного вязкой мокроты, в которой могут наблюдаться остатки крови.
Вместе с этими симптомами появляются болевые ощущения при вдыхании, что связано с повреждением плевры, содержащей множество нервных окончаний. Характерной особенностью крупозного воспаления легких является нарушение работы сердечно-сосудистой системы: появляется тахикардия.
Симптомы крупозного воспаления в домашних условиях при отсутствии лечения могут наблюдаться в течение 15 дней и более. После этого проявления болезни исчезают. Весь период следует консультироваться у врача, поскольку такая пневмония приводит к появлению гнойников на легких и серьезным обострениям в области сердца.
Признаки очагового воспаления
Очаговому воспалению характерно поражение небольшой зоны легких. Подозрение на пневмонию появляется неожиданно. Симптомы начинаются с высокой температуры и ухудшения самочувствия пациента. Наблюдаются общая слабость и болезненные ощущения. При очаговом воспалении кашель с мокротой начинается быстро.
Он может быть как сухой, так и влажный. Чувство боли в груди или отсутствует, или слабо выражено. Спустя некоторое время выделяемой мокроты становится больше, и теперь она содержит гной. По сравнению с крупозным воспалением, очаговое является следствием вирусной и бактериальной инфекций верхней зоны органов дыхания.
При правильно назначенном лечении высокая температура тела должна пройти в течение 5 суток, что способствует последующему полному выздоровлению. Длительность течения очаговой пневмонии составляет 3 или 4 недели. На сегодняшний день многие прописывают себе антибиотики сами, лечение зачастую приостанавливается, и до конца заболевание не вылечивается, а переходит из острой формы в хроническую.
Внешние проявления пневмонии
Для заболевания наиболее характерным признаком является кашель. Иногда у больных появляется мокрота зеленого, желтого или коричневого оттенков. Не исключается включение прожилок крови. Как распознать воспаление легких (пневмонию)? Существует еще ряд внешних симптомов, которые встречаются у пациентов:
- частый пульс;
- отягощенное дыхание даже в состоянии покоя;
- высокая температура;
- общая слабость;
- усиленное потоотделение;
- плохой аппетит;
- чувство боли в грудной клетке.
Существуют также признаки заболевания, встречающиеся редко:
- кровь в мокроте;
- головная боль;
- рвота;
- тошнота;
- хрипы при вдохе;
- болезненные ощущения в мышцах и суставах;
- потеря ориентации и помутнение сознания (свойственно пожилым людям). При первых же признаках следует проконсультироваться с врачом.
Обследования для определения воспаления легких
Для обследования и постановки диагноза при воспалении легких применяется дифференциальная диагностика пневмонии. Диагностика легочного воспаления заключается в исключении заболеваний, которые имеют похожие признаки. Результат обследования сводится к диагнозу, который является правильным. Такая диагностика делится на три этапа. На первом этапе проводится ранняя диагностика, доскональное изучение жалоб пациента и уточнение причин возникновения воспаления легких. Каждая болезнь имеет свои причины появления, но различные заболевания могут иметь и схожие причины.
К примеру, у пневмонии и ОРВИ причина может заключаться в переохлаждении. На втором этапе осуществляется внешний осмотр взрослого человека, и проводится выявление симптомов, на которые он жалуется. Это один из самых важных этапов дифференциальной диагностики. Без лабораторных и инструментальных обследований врач должен поставить правильный диагноз.
На третьем этапе делается заключение. На основании обследований подтверждается поставленный диагноз. Если диагностирована пневмония, дифференциальная диагностика может состоять из таких обследований:
- Лабораторные обследования включают анализ крови на лейкоциты, биохимический анализ крови на белок и на уровень глюкозы, мокроты для определения устойчивости возбудителей к антибиотикам и другие. Подробнее о анализе крови можно узнать тут.
- Инструментальное обследование состоит из следующих манипуляций: пальцами рук выполняются удары по грудной клетке взрослого человека для выявления пораженной области легочных тканей. Далее с помощью фонендоскопа прослушивается дыхание в груди.
- Еще одним видом исследования является томограмма у пульмонолога. Его консультация необходима, если симптомы не совпадают с результатами на рентгеновском снимке. Томограмму назначают при воспалительном процессе у корней легких. Для этого выполняют послойные изображения органов в области груди на разных уровнях.
- Бактериологическое обследование. Это диагностика воспаления легких, при которой со слизистых забирают материал, и в лабораторных условиях выращивают колонию возбудителей.
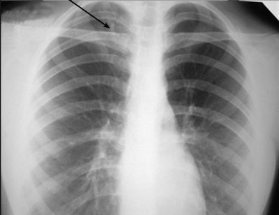
- Лучевая диагностика. Чтобы определить воспаление легких у взрослых, проводится такое обследование, как рентгеноскопия. Считается, что его результаты являются основополагающими в постановке диагноза, поскольку на снимке хорошо видно зону воспалительного процесса. Назначаться может и компьютерная томография легких.
- При необходимости врач назначает бронхоскопию, чтобы выявить пневмонию. Этот процесс неприятный, но с его помощью можно исследовать бронхи и установить точный диагноз. Для процедуры бронхоскопии проводится ряд мероприятий: в носовые ходы взрослого пациента засовывается трубка с видеокамерой на конце, врач внимательно рассматривает бронхи и в случае необходимости отщипывает кусочек ткани слизистой вблизи области инфекционного поражения.
Такое исследование поможет предупредить осложнения и возможный летальный исход.
Частые вопросы
Какие основные признаки воспаления легких?
Основные признаки воспаления легких включают кашель, боль в груди, затрудненное дыхание, высокую температуру, слабость и утомляемость.
Как можно определить воспаление легких дома?
Дома можно определить воспаление легких по симптомам, таким как кашель с мокротой, высокая температура, одышка, боль в груди и общая слабость. Однако для точного диагноза необходимо обратиться к врачу.
Полезные советы
СОВЕТ №1
Обратите внимание на симптомы, такие как кашель, боль в груди, затрудненное дыхание, высокая температура тела и слабость. Если у вас есть подозрения на воспаление легких, обязательно обратитесь к врачу для профессиональной консультации.
СОВЕТ №2
Проведите рентгенологическое исследование легких, чтобы получить точное представление о состоянии легких и выявить возможное воспаление. Это поможет врачу поставить правильный диагноз и начать лечение.
СОВЕТ №3
Если у вас есть хронические заболевания легких или вы находитесь в группе риска, регулярно проходите медицинские обследования и следите за своим здоровьем. Раннее выявление воспаления легких поможет предотвратить серьезные последствия.





