Содержание
Рентгенография носоглотки у детей проводится редко, когда другие методы не приводят к получению достоверных результатов. Аденоиды у ребенка – серьезная патология, приводящая к поражению органов дыхания.
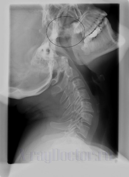
Что показывает рентген носоглотки у детей
Рентген носа и глотки у детей не дает много информации. С его помощью можно выявить следующие особенности:
- увеличение глоточных миндалин;
- скопление гноя.
Исследование применяется редко, так как характеризуется высокой погрешностью. При увеличении миндалин нередко наблюдается гнойное осложнение. При выполнении рентгеновского снимка увеличение глоточных миндалин визуализируется за счет наличия гнойного содержимого.

Ориентироваться на результаты рентгенографии не следует. Обследование добавит к патологии одну-две степени. На основе рентгенодиагностики сложно ответить на вопрос, как вылечить аденоиды без операции, так как для изучения структуры миндалин обследования недостаточно.
Когда требуется определить, как лечить аденоиды без операции у ребенка, врачи выполняют внешний осмотр, зондовый обзор состояния верхних дыхательных путей, делают лабораторные анализы крови.
Рентген-диагностика аденоидов у детей при 3-й степени увеличения глоточных миндалин показывает лишь общее увеличение тканей носоглотки. Информативность обследования низкая, поэтому оно практически не применяется.
Рентгенологические степени увеличения носоглотки при аденоидах
Выделяют 4 степени:
- При данной степени увеличенные миндалины занимают 1/3 часть носоглотки. В такой ситуации ребенок начинает храпеть по ночам. Затянувшийся насморк при патологии практически не лечится лекарствами.
- При второй степени увеличенные миндалины занимают 1/2 часть носоглотки. Во сне у ребенка наблюдается храп. Разговор малыша становится непонятным. Рентген на данной стадии позволяет выявить увеличенные миндалины.
- Миндалины занимают весь просвет носоглотки. Состояние мешает дышать носом или разговаривать. Клинически данное состояние сопровождается снижением слуха и обоняния. Врачи при 3-й стадии заболевания рекомендуют оперативное лечение.
- Отметим, что 4-й степени не существует. Если рентгенолог ставит 4-й степень патологии, он не обладает достаточной квалификацией.

В чем польза рентгена носовых пазух
Польза рентгена носовых пазух заключается в минимальном облучении и возможности выявления воспалительных процессов. У ребенка с воспалительными изменениями носоглотки может наблюдаться верхнечелюстной или лобный синусит (гайморит, фронтит).
Рентгенография хорошо показывает воспалительные изменения придаточных пазух носа. Рентгеновское исследование является единственным и незаменимым при диагностике заболевания.
Гной на снимках визуализируется как светлые пятна. Они исчезают при лечении болезни и контролируются на динамических рентгенограммах. В носоглотке мешки на рентгенограммах прослеживаются в виде белых затемнений. При их обнаружении врачи назначают антибактериальные препараты. При 3-й степени увеличения глоточных миндалин показана операция.
Показания к рентгену носовых костей
Рассматривая причины появления аденоидов, следует заметить, что не всегда целесообразна рентгенография. Существуют показания к проведению рентгена носоглотки:
- травмы костей носа;
- аденоиды;
- искривления носовой перегородки;
- подозрение на синусит;
- врожденные аномалии пазух носа.
Рентген придаточных полостей обладает большей информативностью при введении контраста в камеры.
При низкой информативности контрастных методов можно применять даже томографию. Некоторые рентгенологи считают, что применение рентгеновского обследования носовых костей рационально везде, где существует подозрение на воспалительные или опухолевые болезни.

Согласно рекомендациям Министерства здравоохранения рентгенографию ребенку нельзя проводить без особых показаний. Если речь идет о здоровье и жизни, следует оценить вред и пользу от проведения процедуры и выбрать меньшее из зол.
Чтобы диагностировать заболевание, все средства хороши. Без рентгена нельзя выявить воспалительные процессы и назначить своевременную терапию.
Рентген носоглотки – важная и необходимая процедура диагностики. Доверьтесь врачам, которые назначат рентгенодиагностику носовых костей и придаточных пазух носа тогда, когда ее применение действительно необходимо.
Частые вопросы
Какие показания для проведения рентгеновского исследования носоглотки и пазух носа у ребенка?
Рентген носоглотки и носовых пазух у ребенка может быть назначен при подозрении на наличие инфекции, опухоли, травмы или других патологий в этих областях. Также он может быть проведен для оценки развития респираторной системы.
Что можно увидеть на рентгеновском снимке носоглотки и пазух носа у ребенка?
На рентгеновском снимке носоглотки и пазух носа у ребенка можно увидеть состояние слизистой оболочки, наличие воспалительных процессов, наличие жидкости или опухолей, а также оценить анатомические особенности этих областей.
Полезные советы
СОВЕТ №1
Перед проведением рентгеноскопии носоглотки и пазух носа убедитесь, что ваш ребенок не носит металлических украшений или предметов, которые могут мешать получению четкого снимка.
СОВЕТ №2
Обязательно предупредите врача, если ваш ребенок имеет какие-либо аллергии или принимает лекарства, чтобы избежать нежелательных реакций на контрастное вещество, если оно будет использовано при исследовании.
СОВЕТ №3
После проведения рентгеноскопии обсудите результаты и рекомендации с врачом, чтобы понимать, что видно на снимке и какие дальнейшие шаги необходимо предпринять для здоровья вашего ребенка.

