Такое распространенное заболевание, как очаговая пневмония, представляет собой один из видов острой пневмонии, которая локализуется непосредственно в легком. Протекают очаговые пневмонии очень тяжело, так как они вызывают сухой кашель, лихорадку, образование мокроты, озноб, боль в грудной клетке и слабость.
Так называемая бронхопневмония диагностируется после получения рентгенологических данных, а также рассмотрения результатов назначенных медиком исследований. Чаще всего очаговая пневмония лечится современными муколитическими средствами, ингаляциями, специальным массажем, определенными физиотерапевтическими процедурами и ЛФК.
Особенности недуга
Непосредственно в структуре своих абсолютно разных форм бронхиальная пневмония входит в самую обширную группу. Следует помнить, что достаточно тяжелое и долго не проходящее воспаление практически всегда начинает захватывать терминальные бронхи. Болезнь постепенно распространяется на доли легкого. Именно поэтому столь тяжелое заболевание многие опытные медики давно называют бронхопневмонией. Сам воспалительный процесс во время развития недуга не является слишком активным, а клиническая картина недуга неярко выражена.
Во многих случаях причины развития болезни связаны с уже имеющимся осложнением, которое сопровождает бронхит или трахеобронхит. Заболеваемость таким недугом, как, например, очаговая пневмония, достаточно резко повышается во время сезонных вспышек гриппа. Медики предполагают, что вирус имеет свойство сенсибилизировать человеческий организм, постепенно изменяет поверхность дыхательных путей.
Иногда бронхопневмония развиваться непосредственно на фоне некоторых болезней:
- дизентерии;
- кори;
- перитонита;
- коклюша;
- остеомиелита;
- скарлатины;
- гнойного отита;
- брюшного тифа;
- абсцесса печени.
После того как развивается очаговая пневмония, примерно в 80 % случаев может выделяться большое количество пневмококков. Кроме этого, так называемыми этиологическими агентами заболевания легких выступает:
- менингококк;
- палочка Фридлендера;
- микоплазмы;
- стрептококк;
- хламидии;
- стафилококк.
Стафилококковая бронхиальная пневмония осложняется развитием эмпиемы плевры и абсцедированием легких. Из-за стресса, курения, снижения очень важных вентиляционных способностей легких, переохлаждения, метеорологических факторов и вдыхания токсических веществ может развиться бронхопневмония.
Симптомы
Заболевание развивается постепенно. Практически во всех случаях очаговые пневмонии сопровождаются слабостью, длительной лихорадкой, головной болью, ознобом и повышенной потливостью. У взрослых пациентов наиболее явные симптомы недуга могут быть практически незаметными. Однако появляются достаточно ощутимые боли в груди при дыхании.
Когда имеется осложнение после очаговой пневмонии, то температура тела повышается примерно до 39°С. У пожилых людей и ослабленных пациентов она может достаточно резко подниматься. Период лихорадки может длиться на протяжении 5 дней. Следует помнить, что наиболее распространенные признаки болезни характеризуются наличием кашля, при котором выделяется незначительное количество слизи. Иногда очаговые пневмонии сопровождаются приглушенностью сердечных тонов, одышкой, влажными хрипами, учащением дыхания, тахикардией.
При наиболее благоприятном протекании довольно-таки распространенные очаговые пневмонии перестают беспокоить больных примерно через 2 недели, если не возникнет экссудативный плеврит. Недуг, который был вызван стафилококковой инфекцией или палочкой Фридлендера, сопровождается у взрослых абсцедированием.
Гипертоксические пневмонии могут осложняться легочным, носовым или желудочным кровотечением. А вот недуг, который появился после операции, опасен развитием сердечной недостаточности.
Диагностика и лечение
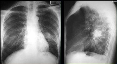
Для того чтобы выявить заболевание легких, практически во всех случаях выполняют комплекс обследований, результаты которых оценивает опытный пульмонолог. Если у пациента была выявлена мелкоочаговая пневмония, то так называемая рентгенологическая картина становится вариабельной. При помощи рентгенографии специалисты определяют произошедшие изменения на фоне инфильтрации. В наиболее сомнительных случаях данные обследования уточнят с помощью МРТ легких.
Даже у ребенка, который заболел, в крови после обследования могут найти увеличение СОЭ, нейтрофильный лейкоцитоз, а также повышенное количество фибриногена и сиаловых кислот. Для того чтобы исключить септицемию у детей, в обязательном порядке проводят более глубокое исследование крови.
При пневмонии медики могут назначить наиболее современные антибиотики, учитывая предварительно проведенную микробиологическую и клинико-рентгенологическую диагностику. Эффективное и своевременное лечение включает в себя фторхинолоны, пенициллины и цефалоспорины. Курс лечения чаще всего длится на протяжении 2 недель. Помимо внутривенных и внутримышечных инъекций антибиотиков, применяют эндолимфатическое, внутриплевральное и эндобронхиальное введение. При использовании комплексного лечения очаговая пневмония не будет беспокоить пациента и не станет хроническим недугом.
Частые вопросы
Какие причины могут привести к развитию очаговой пневмонии?
Очаговая пневмония может быть вызвана различными микроорганизмами, такими как бактерии, вирусы, грибы или паразиты. Наиболее часто это происходит при воздействии на организм патогенов, таких как Streptococcus pneumoniae, Staphylococcus aureus, Haemophilus influenzae и других.
Какие симптомы свойственны очаговой пневмонии?
Симптомы очаговой пневмонии могут включать высокую температуру, кашель с отделением мокроты, боль в груди, одышку, слабость, потерю аппетита и другие признаки интоксикации. У пожилых людей симптомы могут проявляться менее ярко.
Каковы основные методы лечения очаговой пневмонии?
Лечение очаговой пневмонии включает прием антибиотиков или противогрибковых препаратов в зависимости от возбудителя, симптоматическую терапию для облегчения кашля и одышки, а также режим и диету для ускорения выздоровления. В некоторых случаях может потребоваться стационарное лечение.
Полезные советы
СОВЕТ №1
При появлении симптомов очаговой пневмонии, таких как кашель, высокая температура, одышка, обратитесь к врачу немедленно. Раннее обращение за медицинской помощью поможет предотвратить осложнения и ускорить выздоровление.
СОВЕТ №2
При лечении очаговой пневмонии очень важно следовать рекомендациям врача и принимать прописанные препараты в соответствии с указаниями. Не прекращайте прием антибиотиков даже в случае улучшения самочувствия, чтобы избежать рецидива заболевания.
СОВЕТ №3
После выздоровления от очаговой пневмонии рекомендуется провести регулярные медицинские осмотры и обследования, чтобы контролировать состояние легких и предотвратить возможные рецидивы заболевания.



