Содержание
Рентген легких ребенку выполняется только в экстренных случаях. Чтобы часто не облучать детей, рентгеновские кабинеты оснащены средствами безопасности: защитными фартуками, системами автоматической регулировки экспозиции, подставками для удобства выполнения рентгенографии. Без веских причин обследование ребенку не назначается.
Как часто можно делать ребенку рентген легких и опасно ли это

Рентген легких ребенку часто делать не следует. До 18 лет запрещена флюорография. При ней согласно приказу Министерства здравоохранения разрешена годовая доза лучевой нагрузки до 1 мЗв взрослым.
В связи с тем, что рентгеновское излучение негативно действует на быстро делящиеся клетки, при его влиянии возможны мутации генома. Вследствие этого рентген ребенку проводится по строгим показаниям:
- подозрение на воспаление легких;
- частые и длительные простуды;
- патология вилочковой железы (тимуса).
Целесообразность рентгенографии органов грудной клетки часто оспаривается родителями. Они не желают подвергать ребенка лучевой нагрузке. Это опасно тем, что воспалительный процесс в легочной ткани будет прогрессировать без динамики контроля лечения и приведет к гибели.
Чтобы выбрать оптимальный вариант между целесообразностью назначения рентгенографического обследования органов грудной клетки при подозрении на воспалительные изменения легочной паренхимы и лечением антибиотиками без динамического контроля, врачи использую принцип «минимального вреда».
Чтобы успокоить родителей, следует рассмотреть величину дозовой нагрузки при профилактической флюорографии. При ней ежегодно взрослый получает дозу 0,015 мЗв. При выполнении рентгенографии легких она увеличивается в 100 раз – до 0,18 мЗв. Если выполняется снимок еще и в боковой проекции, то лучевая нагрузка увеличивается до 0,42 мЗв.
Очевидно, что нагрузка при рентгенографическом обследовании органов грудной клетки не превышает предельно допустимую Министерством здравоохранения дозу как для взрослых, так и для детей.
Стоит ли делать детскую рентгенографию органов грудной клетки
Детский рентген органов грудной клетки выполнять необходимо. У детей сниженная иммунная система, поэтому воспаление легких у них возникает часто. Более того, оно склонно к прогрессированию. Без ранней диагностики и адекватного лечения пневмония быстро приведет к дыхательной недостаточности.

Учитывая особенности заболевания, следует делать детскую рентгенографию при подозрении на воспалительные изменения в легочной паренхиме. У малых детей это заболевание может протекать без симптомов. Рентген легких поможет установить диагноз на ранних стадиях. В процессе лечения с помощью рентгенографии врачи отслеживают динамику патологии. Если антибактериальные препараты не помогают, то воспалительные изменения прогрессируют, что четко прослеживается на снимках. Это позволяет врачам сменить схему лечения.
Спектр рентгеновского обследования у детей является широким. Оно оказывает неоценимую помощь при диагностике и лечении заболеваний – это врач-рентгенолог должен сообщить родителям. Окончательное решение относительно того, стоит ли делать рентгенографию ребенку, принимают родители.
Главная задача – подготовить ребенка к проведению рентгенографического обследования.
Мы можем сказать, что при соблюдении условий безопасности рентген не принесет вреда. Убедились в этом на практическом опыте!
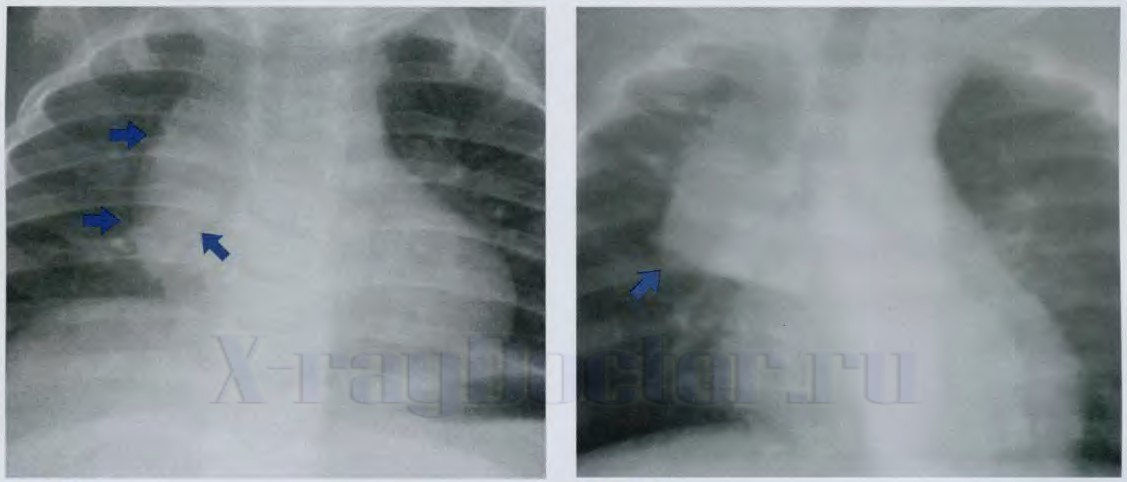
Нужно ли проводить рентгеновское обследование при увеличении тимуса
Делать рентген легких при увеличении тимуса нужно при наличии у ребенка частых и длительных пневмоний. К увеличению вилочковой железы приводят хронические инфекции, резус-конфликт у матери. Рентгеновское обследование является единственным методом, позволяющим выявить заболевание на ранних стадиях.

Какие рентгеновские признаки свидетельствует об увеличении тимуса:
- овальная или треугольная тень в верхнем средостении справа;
- лентовидное затемнение по обе стороны верхней части грудины.
Рентгенограмма позволяет изучить степени увеличения вилочковой железы:
- 1-я степень – затемнение не выходит на пределы внутренней трети грудной клетки;
- 2-я степень – тимус располагается в средней трети;
- 3-я степень – вилочковая железа прослеживается на снимке и не занимает более 2/3 легочного поля.
Определение увеличенной вилочковой железы у детей на рентгене легких осуществляется при экспозиции во время глубокого выдоха.
Детское рентгенографическое обследование легких необходимо, так как оно позволяет выявить патологию на ранних стадиях, проконтролировать процесс лечения и подобрать адекватные антибактериальные препараты. Других более эффективных методов для решения вышеперечисленных задач не существует.
Частые вопросы
Как часто нужно делать рентген легких у детей?
Рентген легких у детей рекомендуется делать только по медицинским показаниям, таким как подозрение на пневмонию, туберкулез, травмы или другие заболевания легких. Не рекомендуется делать рентген без серьезных медицинских причин из-за воздействия радиации на организм.
Чем отличается снимок рентгена легких у детей от снимка у взрослых?
Снимок рентгена легких у детей отличается тем, что у детей кости еще находятся в процессе роста, поэтому специалисты обращают внимание на возможные изменения в костях и суставах, которые могут быть связаны с развитием ребенка.
Полезные советы
СОВЕТ №1
Проводите рентген легких у детей только по назначению врача. Не стоит делать рентген без серьезной медицинской необходимости, чтобы избежать излишнего облучения.
СОВЕТ №2
Обсудите с врачом все возможные риски и пользу от проведения рентгеновских исследований у вашего ребенка. Важно быть информированным и принимать обоснованные решения о необходимости процедуры.

