Рентгеновские снимки суставов позволяют при коксартрозе, гонартрозе, ревматоидном артрите, полиартритах, туберкулезном и сифилитическом поражении костной ткани
Рентгеновский снимок при артрозе плечевого сустава
Протокол описания: На представленной рентгенограмме левого плечевого сустава визуализируется деформация суставной поверхности плечевой кости
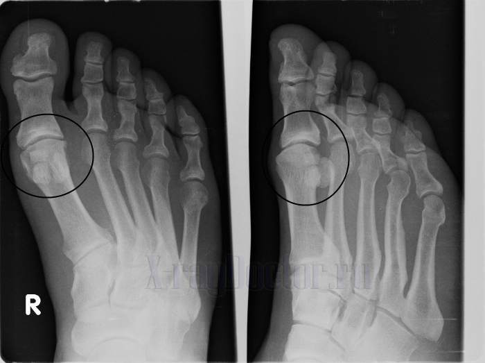
Рентгеновский снимок артроза стопы
Протокол описания: На представленной рентгенограмме стопы визуализируется сужение суставной щели 1-го плюснефалангового сустава 1-го
Рентгеновский снимок при плечелопаточном периартрите
Протокол описания: На представленной рентгенограмме правого плечевого сустава визуализируется сужение суставной щели и субхондральный
Рентгеновский снимок при гонартрозе
Протокол описания: На представленной рентгенограмме коленного сустава в прямой и боковой проекциях визуализируется сужение
Рентгеновский снимок при коксартрозе
Протокол описания: На рентгенограмме тазобедренных суставов визуализируется нитевидное сужение суставной щели левого тазобедренного сустава (щель
Частые вопросы
Какие методы существуют для получения снимков суставов?
Для получения снимков суставов используются различные методы, включая рентгенографию, ультразвуковое исследование, магнитно-резонансную томографию (МРТ) и компьютерную томографию (КТ).
Зачем проводятся снимки суставов?
Снимки суставов проводятся для диагностики различных заболеваний и травм, таких как артрит, остеоартроз, травмы связок и др. Они помогают врачам увидеть состояние суставов и принять решение о дальнейших методах лечения.
Полезные советы
СОВЕТ №1
При необходимости сделать снимок суставов, обязательно проконсультируйтесь с врачом, чтобы получить рекомендации по подготовке к процедуре.
СОВЕТ №2
Помните, что снимки суставов могут потребовать специальной подготовки, такой как снятие украшений или ношение специальной одежды, поэтому следуйте инструкциям медицинского персонала.
СОВЕТ №3
После получения снимков суставов, обязательно обсудите результаты и дальнейшие действия с вашим врачом для точного диагноза и планирования лечения.






