Содержание
Понятие о заболевании
Когда эпителиальные клетки желудка преобразуются в другие, этот процесс принято называть метаплазией. Встречается болезнь довольно редко и диагностируется у людей старше 50 лет.
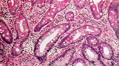
Кишечная метаплазия желудка — это один из процессов перерождения железистого эпителия желудка в кишечник. На фоне такой трансформации орган начинает работать совсем по-другому, что ведет к нарушению процессов переваривания пищи. Обкладочные клеточные структуры, которые отвечают за вырабатывание желудочного сока и состояние кислотности, утрачивают свои первоначальные функции. Это ведет к сильному понижению кислотности и существенному нарушению переваривания.
В группе риска находятся пациенты старше 50 лет. На самом деле, кишечная метаплазия является очень опасным заболеванием, ведь при отсутствии своевременного лечения развивается рак желудка. Хоть клетки и начинают перерождаться, все равно существуют способы, которые позволяют приостановить этот процесс, а порой и полностью излечиться.
Виды метаплазии желудка
Данный патологический процесс подразделяется на два основных вида.
- Метаплазия тонкокишечного или зрелого типа. Главная причина патологии кроется в остром и хроническом гастрите. Такая форма болезни встречается чаще всего и сопровождается появлением в слизистой оболочке ацидофильных клеток и экзоериноцитов. Когда человек полностью здоров, эти клетки располагаются в тонком кишечнике.
- Метаплазия толстокишечного или незрелого типа. Этот вид болезни встречается реже, но представляет большую опасность для человека. Когда в желудке присутствуют клетки толстого кишечника, принято говорить о предраковом состоянии. При отсутствии лечения произойдет смертельный исход. Но, стоит отметить, что у одного пациента на 20 человек приходится образование доброкачественного характера.
Степень поражения также бывает различной. Ее подразделяют на следующие степени:
- незначительную. Заболевание охватывает не больше 5% желудочного органа;
- неполную. Поражается примерно 20% органа;
- полную. Когда орган охватывается болезнью больше 20%.
Процесс замещения одних клеток на другие подразделяется на три категории в виде:
- пилорического. Характеризуется очаговой метаплазией. Под данным понятием принято понимать поражение отдельных железистых структур, когда наблюдается нарушение в обновлении клеток;
- ресничного. Такая форма болезни имеет неблагоприятный прогноз. При наличии ресничных эпителиальных клеток в желудке происходит формирование карциномы. Патология диагностируется у 60% пациентов;
- панкреатического. Происходит неравномерное окрашивание железистых клеток.
Каждый тип заболевания опасен по-своему. Но чтобы не диагностировали у больного, необходимо в срочном порядке начинать лечение.
Причины формирования метаплазии желудка

Врачи выделяют несколько основных причин в виде:
- наличия воспалительных процессов в слизистой оболочке органа;
- воспаления в других органах пищеварительного тракта;
- гормональных сбоев;
- регулярных стрессов, переутомления, хронической усталости;
- хронической формы гастрита;
- язвенного поражения желудка;
- нерационального питания, постоянного употребления пищи, которая ведет к раздражению пищеварительных органов;
- забрасывания желчи в желудочную полость.
Одной из главных причин заболевания является наличие в органе бактериального агента под названием Хеликобактер Пилори. Он ведет к развитию таких болезней, как гастрит и язвенное поражение. Тем самым нарушая процесс обновления клеточных структур.
Такое инфицирование опасно для пациента, ведь оно ведет не только к проявлению неприятных симптомов, но и к возникновению осложнений. Весь процесс происходит в несколько этапов:
- заражение организма бактерией;
- развитие воспалительного процесса. При отсутствии лечения заболевание переходит в хроническую стадию;
- отмирание клеточных структур в слизистой оболочке. На фоне этого наблюдается атрофия тканей;
- развитие метаплазии клеток;
- нарушение процесса роста и деления новых клеток;
- формирование ракового образования.
Патологические очаги зачастую выявляются при пониженной кислотности желудочного сока. Нехватка соляной кислоты ведет к изменению микрофлоры. Вследствие этого бактерии желудка уничтожают сами себя.
Симптоматика заболевания
Неполная и полная кишечная метаплазия желудка может иметь абсолютно разные признаки. Весь процесс зависит от той причины, которая вызвала заболевание.
Если решающим фактором стал гастрит, то пациент испытывает сильные болезненные ощущения при долгих перерывах между приемами еды. После употребления пищи появляется изжога и тяжесть в желудке. В ночные часы чувство голода усиливается, что ведет к болям.
При забрасывании желчи в желудочный орган появляются неприятные симптомы в виде тошноты, позывов к рвоте, горечи в ротовой полости, резких болей в области живота.
При язвенном поражении желудка наблюдаются голодные боли. Они могут не прекращаться долгое время даже после потребления пищи. В некоторых случаях наблюдается локальная боль острого характера. Ткани желудка подвергаются деформированию, что ведет к появлению рубцов и шрамов. Если их размер становится большим, то их можно выявить при помощи пальпирования живота.
При поражении организма бактерией Хеликобактер Пилори наблюдаются признаки, схожие с хроническим гастритом.
Также врачи выделяют и общую симптоматику метаплазии в виде:
- возникновения постоянных или периодических болей в области эпигастрии;
- отрыжки;
- периодических приступов тошноты и рвоты;
- утраты аппетита.
Если наблюдается кишечная метаплазия слизистой желудка, лечение надо начинать как можно скорее. Это позволит избежать серьезных осложнений и перерождения недуга в раковую опухоль.
Диагностика желудка
Как лечить метаплазию желудка, может сказать только опытный врач после обследования и определения причины.
Выявить патологический процесс на начальных стадиях довольно трудно, ведь на данном этапе она имеет схожесть с гастритом и язвой. Но если удастся поставить диагноз вовремя, то больного получится полностью излечить.
Для постановки точного диагноза проводится биопсия слизистой оболочки желудка. Благодаря такому методу исследования можно увидеть измененные клетки, а также определить наличие такого вещества, как сульфамуцин. Он притягивает к себе вредные канцерогены, которые зачастую и становятся причиной раковых образований.
Дополнительно берется кровь на анализ. Если диагностируется большое содержание в крови раково-эмбриональных антигенов, то можно с уверенностью говорить о нарушении в функциональности клеточных структур.
Рекомендации по лечению метаплазии желудка
Не важно, какой отдел желудка или кишечника поражен. Важно то, что лечить заболевание нужно в обязательном порядке.
После того как врач поставил точный диагноз, назначается лечебная терапия. Она подразумевает:
- прием медикаментов;
- соблюдение диеты;
- проведение профилактики;
- корректирование режима дня;
- лечение народными средствами.
Медикаментозная терапия
Главной целью лечения является:
- предотвращение обратного забрасывания пищевого комка из желудка в пищевод. Такая мера позволит предупредить развитие очагового или диффузного воспаления в нижних отделах пищевода;
- уничтожение инфекционного агента;
- соблюдение всех рекомендаций, которые дают врачи.
Схема медикаментозной терапии разрабатывается доктором исходя из причины патологии. Пациенту прописываются:
- пробиотики для восстановления флоры;
- синтетические иммуномодуляторы;
- протоновые ингибиторы для стабилизирования кислотности желудочного сока;
- антациды для нейтрализации соляной кислоты;
- блокаторы гистаминов. Это позволяет блокировать секреторную активность;
- гастропротекторы. Они регулируют желудочную кислотность и предотвращают деструкцию слизистой оболочки.
Медикаментозная терапия проводится лишь на начальных стадиях болезни, когда наблюдается положительная динамика.
Народные методы
Лечение народными средствами кишечной метаплазии желудка является дополнительным методом к медикаментозной терапии. Их воздействие направлено на уменьшение проявления воспалительного процесса и устранение болевого синдрома.
Лечение метаплазии желудка народными средствами подразумевает употребление отваров и настоек из лекарственных трав.
- Для приготовления возьмите в равном соотношении ромашку, тысячелистник, календулу и корень алтея. Залейте кипятком в объеме 500 миллилитров. Дайте настояться 3-4 часа. Процедите и принимайте до 4 раз за сутки.
- Хорошо помогает отвар на основе льняных семян. Для приготовления берется 25 грамм семян, заливаются кипяченой водой и томятся на огне в течение 5-7 минут. После чего отвар настаивается еще два часа. Принимать по 30 миллилитров перед каждым приемом пищи.
Длительность лечения составляет от одного до двух месяцев. После чего делается небольшой перерыв.
Соблюдение диеты
Очень важно соблюдать строгую диету. Из рациона полностью исключаются продукты, которые раздражают слизистую оболочку. Сюда относят молочные изделия, жареные и жирные блюда, специи и пряности.
Откажитесь от употребления спиртного в любом виде. Также под запрет попадают газированные напитки и кофе.
Питание должно быть дробным и осуществляться до 6 раз в сутки. В меню должны обязательно входить овощи и фрукты в любом виде, крупы и супы.
Оперативное вмешательство
Если положительная динамика отсутствует, то пациенту назначают операцию. Существует два типа процедуры:
- полостная операция. Пораженный участок желудка удаляется полностью;
- лапароскопия. Малоинвазивное вмешательство, которое предполагает неглубокое введение эндоскопа и удаление поврежденных тканей.
Лапароскопия чаще проводится у тех людей, у кого отсутствуют серьезные осложнения. Имеет ряд преимуществ в виде быстрого восстановления, низкой степени травмирования эпителиального слоя, внешней эстетичности швов, минимума осложнений после процедуры.
Полостная операция выполняется при раковых образованиях, которые угрожают жизни больного. Но все решается в индивидуальном порядке исходя из результатов обследования.
Частые вопросы
Какие виды метаплазии желудка существуют?
Существует несколько видов метаплазии желудка, включая железистую метаплазию, кишечную метаплазию и плоскоклеточную метаплазию.
Каковы причины появления метаплазии желудка?
Причины появления метаплазии желудка могут включать хронический гастрит, инфекцию Helicobacter pylori, курение, потребление алкоголя, неправильное питание и генетическую предрасположенность.
Каковы методы лечения метаплазии желудка?
Лечение метаплазии желудка может включать применение препаратов для уменьшения кислотности желудочного сока, эрадикацию Helicobacter pylori, изменение образа жизни, а также в некоторых случаях проведение эндоскопической резекции или хирургического вмешательства.
Полезные советы
СОВЕТ №1
Признаки метаплазии желудка могут быть различными, поэтому важно обратить внимание на симптомы, такие как боли в области желудка, изжога, отрыжка, тошнота, рвота, а также изменения в аппетите и весе. При появлении подобных симптомов необходимо обратиться к врачу для проведения диагностики.
СОВЕТ №2
Лечение метаплазии желудка может включать в себя применение лекарственных препаратов, коррекцию питания, а также проведение эндоскопических процедур. Важно следовать рекомендациям врача и не заниматься самолечением.
СОВЕТ №3
Предупреждение метаплазии желудка включает в себя здоровый образ жизни, отказ от вредных привычек, регулярное употребление пищи, богатой клетчаткой, а также своевременное обращение к врачу при появлении любых жалоб на состояние желудочно-кишечного тракта.


