Содержание
Рентген легких показывает не заболевание, как считают многие пациенты, а лишь плоскостное наслоение анатомических структур, которые находятся на пути движения лучей. На снимке прослеживаются рентгенологические симптомы, которые описывает врач-рентгенолог. На основе его заключения можно предположить диагноз, но не всегда.
В этой статье будем говорить рентгенологическими симптомами, которые при «сложении» формируют синдромы заболеваний. Именно в этом заключается работа «всевидящего» врача-рентгенолога.
Что показывает рентгенограмма

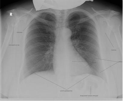
Рентгенологический снимок органов грудной клетки в прямой проекции представляет собой суммарное плоскостное изображение легких, сердца, органов средостения и ребер.
Анатомические структуры на снимке
Какие органы отображает снимок:
- крупные симметричные просветления с обеих сторон обусловлены воздушными легкими;
- в центральной части – тень сердца;
- купола диафрагмы – прослеживаются в нижней части снимка;
- передние и задние отрезки ребер формируют решетчатую структуру снимка;
- в проекции мягких тканей в периферической части рентгенограммы прослеживаются плечевые суставы.
Обратим внимание читателей, что плотность вышеописанных структур отличается, что обусловлено различным содержанием в них кальция, жидкости и воздуха. Известно, что от плотных структур рентгеновские лучи сильно отражаются, а через воздушные легко проходят, не создавая четкой структуры на снимке. Чтобы рентгенологи смогли более точно описывать картинку, созданы понятия «тень» и «просветление».
Просветление указывает на участок повышенной воздушности, а тень – на более плотный очаг. На вышеописанном снимке легкие представляют собой просветление, а сердце – тень (затемнение).
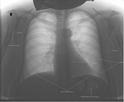
Следует понимать, что рентген-картина заболеваний зависит от различного сочетания и комбинации между собой вышеописанных симптомов. На особенности ее описания врачом-рентгенологом не влияет также разновидность снимка (негатив или позитив). Ниже приведен снимок легких в позитиве, аналогичный первому.
Несмотря на разный вид обоих рисунков в статье, описание их легких рентгенологом не отличается, так как это один снимок в негативе и позитиве.
Рентген легких с описанием врача
Врач-рентгенолог при описании снимка легких анализирует следующие особенности:
- изображение сердца, которое слабо пропускает лучи, отображается тенью в центральной части;
- просветления легких с обеих сторон вместе с сосудистым рисунком и корнями (тяжистые линии);
- за сердцем и легкими прослеживается тень позвоночника, по которой можно оценить нормальное его положение или наличие искривления в боковой плоскости.
Проанализировав данные, сделаем вывод, что тень на классической обзорной рентгенограмме легких имеет белый цвет, а просветление – черный.
Элементы рентгенограммы, свидетельствующие о патологии легких:
- Кальцинированные тени (очаги с отложением кальция) – при туберкулезе.
- Множественные затемнения – опухоли и пневмония.
- Усиление легочного рисунка – при бронхите.
- Повышение прозрачности – при эмфиземе.
- Плевральное затемнение с косым верхним уровнем – плеврит (воспаление плевры).
- Расширение тени сердца – кардиомиопатия, сердечная недостаточность.
- Усиленное затемнение по контуру перикарда (внешняя оболочка сердца) – перикардит, «панцирное сердце».
Рентген легких назначается врачами чаще всего с целью исключения пневмонии. По косвенным признакам на снимке можно обнаружить и другие болезни:
- гидро- и пневмоторакс (скопление жидкости или воздуха в плевральной полости);
- хронический бронхит;
- туберкулез;
- бронхоэктатическая болезнь;
- профессиональные заболевания (силикозы, талькозы, асбестозы).
Курильщиков рентген выявляет по косвенным признакам: усиление и деформация легочного рисунка, скопление в корнях кальцинатов.
Косвенные признаки заболевания на снимке отнюдь не означают наличие патологии. Для установки диагноза необходим комплексный анализ результатов клинико-диагностических методов исследований.
Вследствие этого рентген органов грудной клетки выполняется после проведения других обследований. Такой подход также применяется в целях радиационной безопасности пациента, ведь иногда получение результатов других методов исследований исключает необходимость рентгеновского обследования.
Что обнаруживает на снимке рентгенолог
Профессиональная расшифровка снимков предполагает оперирование многими специализированными терминами. Вследствие этого протокол заключения специалиста очень сложно понять простому человеку.
Большинство врачей скажет, что при отсутствии медицинского образования лучше не пытаться самостоятельно устанавливать диагноз, а обращаться для этого к профессионалам. Это в идеале, а на практике пациент встречается с огромными очередями в государственных поликлиниках и многомесячными записями на прием.
Для читателей, желающих разобраться в рентгенограммах, приведем краткую характеристику и описание рентген-симптомов, из которых складываются патологические синдромы:
- ограниченные затемнения – интенсивная тень с четкими внешними границами. Встречаются при раках легких, пневмониях, ателектазах (спадение участка легкого) инородных телах, туберкулезе;
- неограниченные затемнения – тени на протяжении всей легочной ткани с одной или обеих сторон. Наблюдаются при крупозных пневмониях, грибковых заболеваниях, сердечно-сосудистых нарушениях, профессиональных болезнях;
- округлые затемнения – тени округлой формы больше 1 см в диаметре. Наблюдаются при раке легких, эхинококкозе;
- очаговоподобные – до 1 см в диаметре. Их формируют туберкулез, саркоидоз, силикоз;
- милиарная диссеминация – множественные мелкие тени на больших участках характеризуют туберкулез;
- тяжистость – интенсивные линии в легких наблюдаются при раке, саркоидозе, туберкулезе;
- кольцевидные тени с четким ободком и прозрачной внутренней частью – кисты и каверны в легочной ткани;
- просветления формируют на рентгенограмме заболевания с повышением воздушности легких – эмфизема, пневмоторакс, ателектаз.
Вышеописанные рентген-симптомы не объясняют всех патологических изменений на снимках, так как существуют различные комбинации элементов, которые совместно будут свидетельствовать не о том виде заболевания, на который указывают разновидности затемнений и просветлений в отдельности.
Расшифровка рентгена органов грудной клетки требует оценки свойств различных анатомических и патологических элементов. По стандартной схеме специалисту необходимо описать следующие особенности тени: размеры, форма, структура, положение, интенсивность.
К примеру, при очаговой пневмонии протокол описания выглядит примерно следующим образом: «на рентгенограмме органов грудной клетки в прямой и боковой проекциях отмечается интенсивная очаговая тень округлой формы с нечеткими контурами в S8 правого легкого». Такое заключение может свидетельствовать как об очаговой пневмонии, так и о периферическом раке.
Для установки правильного диагноза необходимо анализировать результаты анализов крови, уровень температуры, а также отслеживать эффективность эмпирической терапии антибактериальными препаратами.
Для понимания основ анализа приведем примеры снимков с описанием.


В заключение хотелось бы заметить, что пациенты очень часто при малейших повышениях температуры, появлении насморка желают делать рентген органов грудной клетки, чтобы исключить пневмонию. Такое обследование не всегда рационально, так как вред от рентгеновских лучей будет превышать практическую пользу.
Советуем в первую очередь обратиться к лечащему врачу, ведь есть другие клинические методы диагностики воспалений легких. Даже если терапевт заподозрит очаговую пневмонию без выраженных изменений в организме, он назначит антибактериальные препараты. Только если терапия не поможет, применяется рентгеновское обследование органов грудной клетки. Такой подход защищает человека от лучевых нагрузок и является оптимальной схемой, но, как и все в жизни, несовершенен.
Частые вопросы
Какие заболевания легких можно обнаружить при помощи рентгеновского обследования?
Рентген легких может показать такие заболевания, как пневмония, туберкулез, рак легких, а также другие инфекции и поражения легочной ткани.
Какие травмы и повреждения легких можно выявить с помощью рентгеновского обследования?
Рентген легких может помочь выявить переломы ребер, повреждения легочной ткани, пневмоторакс (накопление воздуха в плевральной полости) и другие травмы, связанные с грудной клеткой.
Полезные советы
СОВЕТ №1
Если у вас запланировано рентгенологическое исследование легких, убедитесь, что вы не носите металлические украшения или предметы одежды, так как они могут искажать результаты снимка.
СОВЕТ №2
Перед процедурой рентгеновского обследования легких обязательно сообщите врачу о наличии беременности или возможности ее наступления, чтобы были предприняты соответствующие меры защиты.



