Содержание
Рентгенография грудной клетки – метод рентгенодиагностики, подразумевающий пропускание рентгеновских лучей через толщу структур и получение их изображения на крупнокадровой пленке.
Флюорография – профилактический способ рентгенодиагностики, при котором снимок получается путем снятия картинки с флуоресцентного экрана (устаревшая технология) или цифрового приемника (на аппаратах «Мультискан», «Пульмоскан»).
Как с помощью рентгена можно обнаружить болезни в грудной клетке
Рентгенодиагностика болезней грудной клетки – наиболее эффективный метод исследования при пневмонии, туберкулезе, плеврите, подозрении на раковые болезни. Рентгенография легких позволяет обнаружить внутрибронхиальную патологию (по косвенным признакам) и выявить новообразования средостения.
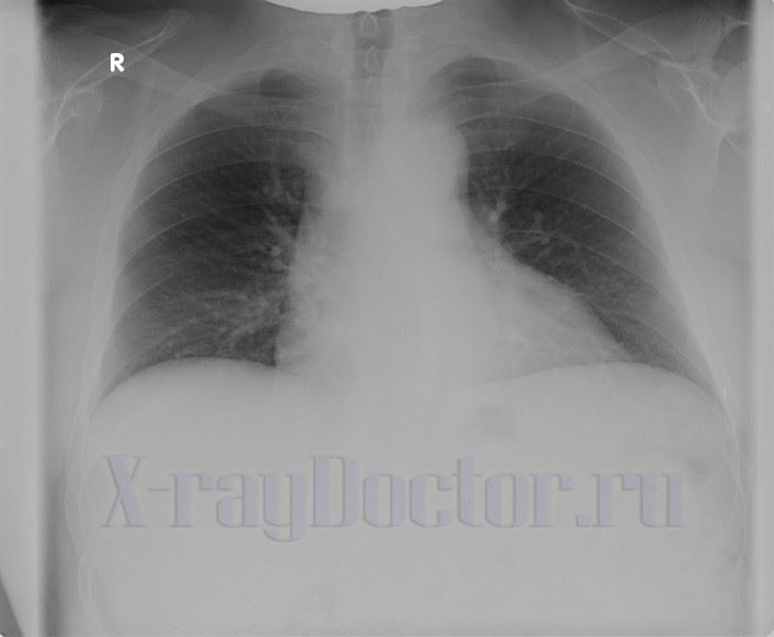
Итак, возьмем рентгеновский снимок легких и попробуем отличить нормальные анатомические структуры от патологических.
Норма на рентгене грудной клетки:
- черные легочные поля (симметрично с обеих сторон);
- белая тень посередине (сердце)
- серая костная структура (ребра, плечевые суставы);
- белые дугообразные «купола» (снизу под легочными полями, симметрично);
- позвоночный столб посередине.
Как обнаружить патологию на рентгенограмме:
- дополнительные белые тени на фоне легочных полей;
- увеличение ширины или деформация контуров нормальных анатомических структур (грудины, сердца, позвоночника);
- кольцевидные полости в легочных полях;
- белые горизонтальные уровни в нижних отделах плевральной полости.
Существуют и другие рентгенологические симптомы патологии, но их опишем в последующих статьях.
Чем отличается флюорография от рентгенографии

Флюорография – профилактический метод рентгенодиагностики. Она позволяет обнаружить патологию (см. выше) на ранних стадиях. При выявлении негативных рентгенологических синдромов назначается рентгенографическое обследование легких в прямой и боковой проекциях, обладающее более высоким разрешением в сравнении с флюорографическим исследованием.
Профессиональный врач-рентгенолог, рассказывая, чем отличается рентгенография от флюорографии, говорит так: на флюорографическом обследовании видны небольшие нити, а при рентгенографии – четкие линейные тяжи.
Исходя из этого, казалось бы, рациональнее делать людям рентгенографию, но это не совсем так. Во-первых, государство при такой рентгенодиагностике тратит меньше денег. Во-вторых, оно спасает человека от ненужной лучевой нагрузки.
Читатели могут поспорить относительно качества исследования и необходимости повторных рентгеновских снимков при обнаружении патологии, но более выгодных способов использования рентгенодиагностики для массового обследования населения не найдено. Наши авторы готовы подключиться к дискуссии. Пишите, обсудим вопрос на страницах сайта.

Стоит ли делать флюорографию
Выполнять рентген чревато радиационными нагрузками. Делать флюорографию следует каждому один раз в год в целях профилактического (скринингового) обследования (приказ Министерства здравоохранения).
Флюорография грудной клетки (или просто «флюшка») врачами развитых стран признана устаревшим методом диагностики. Его заменили современные технологии: МРТ, цифровая рентгенография, компьютерная томография. В странах, где низкий уровень туберкулеза и раковых заболеваний, не возникает необходимости массового исследования грудной клетки.
Содружество Независимых Государств относится к ряду неблагополучных по вышеописанным болезням. Флюорографию делать обязательно каждому человеку.
В заключение: если врач говорит, что флюорография не проводится в медицинском учреждении, а делается рентгенография органов грудной клетки, необходимо четко понимать разницу между этими методами рентгенодиагностики:
- на флюорографии видны только очертания патологических теней (при небольших размерах);
- рентгенография обладает высоким разрешением;
- при флюорографии человек получает более низкое радиационное облучение (примерно в 10 раз ниже, чем при рентгеновском обследовании легких);
- флюорография не проводится детям до 16 лет;
- при рентгенографии облучаются не только легкие, но и другие анатомические структуры.
Рентген – первый метод диагностики заболеваний легких, но использовать его следует грамотно.
Частые вопросы
Какие основные отличия между рентгенографией грудной клетки и флюорографией?
Рентгенография грудной клетки и флюорография являются методами изображения внутренних органов и тканей, однако основное отличие между ними заключается в том, что рентгенография предоставляет статическое изображение, в то время как флюорография позволяет получать динамическое изображение органов, таких как сердце и легкие, в реальном времени.
Какие преимущества имеет рентгенография грудной клетки по сравнению с флюорографией?
Рентгенография грудной клетки обычно предпочтительна в случаях, когда требуется получить более детальное изображение органов и тканей, так как она обеспечивает более высокое качество изображения и позволяет проводить более точную диагностику. Кроме того, рентгенография может использоваться для обнаружения более широкого спектра заболеваний и состояний, чем флюорография.
В каких случаях рекомендуется проведение флюорографии вместо рентгенографии грудной клетки?
Флюорография обычно рекомендуется для скрининговых обследований на туберкулез и другие заболевания легких, так как она позволяет быстро и эффективно обнаруживать изменения в легочной ткани. Также флюорография может быть предпочтительной в случаях, когда необходимо провести быстрое и недорогое обследование большого количества людей, например, при массовых скринингах на туберкулез.
Полезные советы
СОВЕТ №1
При необходимости прохождения рентгенографии или флюорографии грудной клетки, обязательно следуйте всем рекомендациям медицинского персонала, чтобы получить наиболее точные и полезные результаты исследования.
СОВЕТ №2
Помните, что рентгенография обычно используется для более детального изучения состояния органов и тканей, в то время как флюорография предназначена для скрининга и раннего выявления патологий. Обсудите с врачом, какой метод подходит именно вам.
СОВЕТ №3
Не стоит беспокоиться из-за небольшого количества излучения при проведении рентгенографии или флюорографии, так как оно обычно ниже допустимых норм и не представляет серьезной опасности для здоровья.


