Содержание
Кистоподобные образования отличаются от истинных кист неправильными размерами и несколькими камерами, которые могут накладываться на снимке.
Что такое ретенционная киста легкого
Ретенционная киста легкого на рентгеновском снимке выявляется по следующим признакам:
- Тонкостенная округлая тень.
- Неровный наружный контур за счет соединительной ткани.
- При наличии воздуха внутри полости прослеживается уровень жидкости.
Кистоподобные полости на снимке определяют по следующим рентгеновским симптомам:
- множество вздутых камер внутри одного просветления с неровными контурами;
- наличие гнойного содержимого внутри.
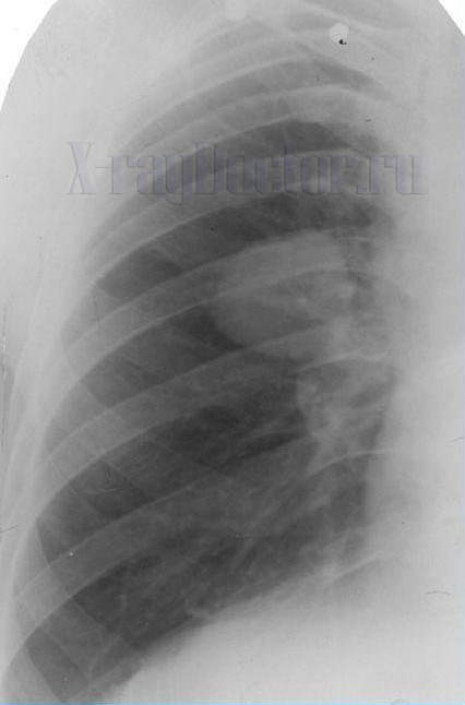
Ретенционные кисты образуются при закупорке бронха мокротой, опухолью и инородным телом. При этом вздувается проксимальная часть бронхиального дерева. На рентгенограмме образование представлено кольцевидной тенью неправильной овальной формы, которое с одной стороны имеет дугообразное закругление (место закупорки).
Эхинококковая киста легкого представлена кольцевидным затемнением с тонкой серповидной полоской за счет просветления между истинной оболочкой полости и фиброзной тканью.

Типы кист, которые можно обнаружить при рентгенографии:
- Ретенционная – при закупорке просвета бронха.
- Врожденная – у плода сразу после рождения.
- Истинная – нарушения в формировании легких в эмбриональном периоде.
- Ложная – следствие перенесенных травм грудной клетки (абсцесса или гангрены).
Ретенционная киста легкого встречается наиболее часто среди всех вышеописанных видов. Ее выявление у плода и своевременное лечение позволяет избежать грозного осложнения – ателектаза (спадения легочной ткани).
Ложный вид отличается от истинного тем, что не имеет внутренней выстилки из бронхиального эпителия. На рентгеновском снимке это проявляется отсутствием двойного контура кольцевидной тени и локализацией полости только в задних легочных сегментах. Истинная киста наблюдается в любых сегментарных частях легочной ткани.
Дренирующий (открытый) вид появляется, когда образование открывается в бронхах. Такое явление считается благоприятным и свидетельствует о начале разрешения кистозных полостей.
Закрытый вид появляется при «отшнуровывании» образования от бронхиального дерева.
Ретенционная киста напоминает буллы (воздушные альвеолы) при очаговой эмфиземе. Иногда такие образования достигают огромных размеров и симулируют скопление воздуха в плевральной полости, но имеют другое происхождение в отличие от кистозных полостей.
Врожденный поликистоз плода – порок развития, обусловленный патологией бронхиального дерева при недоразвитии респираторного отдела дыхательного тракта.
Как определить синдром кольцевидной тени на рентгенограмме
Синдром кольцевидной тени на снимке определяется по следующим рентген-симптомам:
- овальное или веретенообразное затемнение с двумя «рогами», сформированными мелкими бронхами;
- двугорбая тень;
- многочисленные выпячивания стенки растянутых бронхов (ретенционная киста);
- колбообразные затемнения, «грозди винограда», реторты.
Ретенционная форма образования имеет вид «ветки дерева» — один центр с многочисленными разветвлениями. Из-за специфичности строения контуры полости полициклические, волнистые или бугристые и тонкие. Вокруг тени деформируется легочной рисунок. На снимках, выполненных в разные фазы дыхательного цикла, форма и контуры образования не изменяются.
Подтверждается диагноз рентгеновскими методами: рентгенографией или рентгеноскопией. С помощью введения контрастного вещества в бронхи можно установить происхождение и вид патологии, а также отличить туберкулему, кисту и рак легкого.
Бронхография не проводится у плода и малых детей, так как бронхиальное дерево у них очень чувствительно к инородным телам, а процедура травматична. Опасны осложнения процедуры при проникновении водорастворимого контраста в ткани средостения.
Бронхография при диагностике кистовидных полостей в легких
Бронхография при диагностике кистовидных полостей позволяет определить следующие изменения:
- расширение бронхов;
- культю в месте отхождения субсегментарного бронха от центрального;
- дренированные полости (заполняются контрастом).
Кистовидные полости у плода и детей склонны к постепенному увеличению при накоплении в них жидкости. Данные образования врачи дифференцируют с раком. Встречают случаи кровохарканья при травматизации внутренней стенки врожденной кистовидной полости у плода.
Послойная томограмма, выполняемая в таких случаях, выявляет на срезах аналогичные тени, которые отличаются только размерами. При раковых новообразованиях по их контуру на снимке четко прослеживается белый ареол за счет воспаления лимфатических сосудов, который «дотягивается» до корня со стороны поражения.
Вышеописанные образования у плода опасны осложнениями:
- ателектаз — спадение легкого;
- формирование эмфизематозных булл;
- острое вздутие кисты;
- пневмоторакс – выход воздуха в плевральную полость.
Врожденная киста легкого у плода обнаруживается чаще всего при выполнении рентгенографии органов грудной клетки при подозрении на пневмонию или туберкулез. Образование может не проявлять себя до подросткового возраста, когда детям начинают выполнять флюорографию.
У плода врожденная киста легкого больших размеров может спровоцировать синдром дыхательного апноэ.


Частые вопросы
Как выглядит киста легкого на рентгенограмме?
Киста легкого на рентгенограмме обычно выглядит как округлое или овальное образование с четкими контурами, обычно с тонкой стенкой. Она может быть одиночной или множественной, и ее размеры могут варьироваться.
Какие методы используются для выявления кисты легкого на рентгенограмме?
Для выявления кисты легкого на рентгенограмме могут использоваться различные методы, включая обычную рентгенографию, компьютерную томографию (КТ) и магнитно-резонансную томографию (МРТ). КТ и МРТ обычно предоставляют более детальные изображения и могут помочь уточнить диагноз.
Полезные советы
СОВЕТ №1
Изучите анатомию легких и поймите, как выглядит здоровое легкое на рентгенограмме. Это поможет вам лучше понять, как выглядит киста на рентгеновском снимке.
СОВЕТ №2
Обратитесь к профессионалу, если у вас есть подозрения на наличие кисты в легком. Только квалифицированный врач может точно определить наличие кисты на рентгенограмме и предложить соответствующее лечение.

