Содержание
Метастазы в легких на рентгеновских снимках наблюдаются в 10-12% случаев от всех опухолей организма. У злокачественных образований разная частота метастазирования. В органах грудной клетки прослеживаются метастазы при (по частоте встречаемости):
- хорионэпителиоме матки;
- опухоли почек и яичников;
- раке желудка;
- злокачественных образованиях костей.
Какие метастазы в легких наблюдаются на рентгене
По форме на снимках легких выделяются следующие виды метастазов:
- солитарные;
- шаровидные;
- бугристые;
- литические.
Одновременно с интенсивными затемнениями на снимках легких при метастазировании наблюдаются следующие рентгенологические признаки метастазов:
- лимфангит – воспалительные изменения в лимфатической системе;
- милиарный карциноз – множество мелких перифокальных теней вокруг первичного очага;
- псевдопневмония – инфильтративные затемнения, напоминающие бактериальное воспаление легочной ткани;
- раковый экссудативный плеврит – скопление жидкости в плевральной полости;
- медиастильная форма – увеличение лимфатических узлов в средостении.
Рентген-признаки метастазов на снимке
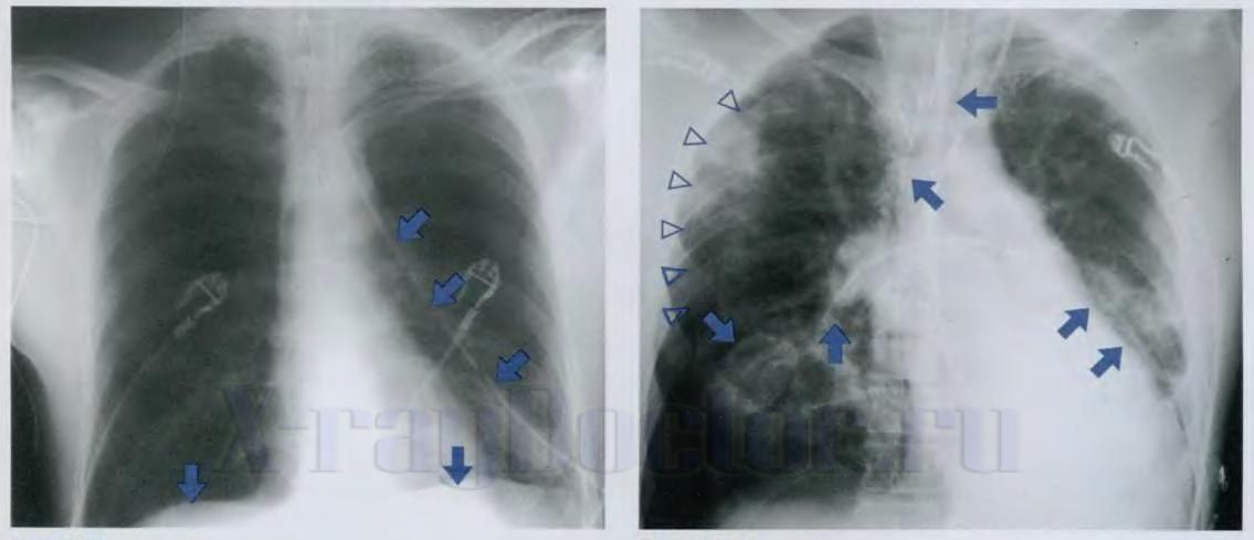
На рентгенограмме легких чаще всего выявляются шаровидные метастазы. Они представляют собой округлые интенсивные тени. При некоторых опухолях, таких как опухоль Юинга и остеогенная саркома, шаровидные образования разбросаны по всей легочной паренхиме. Специфической их особенностью является нормальный легочной рисунок. Он не деформируется вокруг аномальных затемнений. Метастазы быстро увеличиваются в размерах, но сохраняют свою форму.

Как выглядят метастатические узлы рака молочной железы в легких
Метастазы молочной железы в легких имеют размеры около 5-6 см, но среди них встречаются и мелкие сферические тени (до 1 см). Образования характеризуются быстрым распространением по лимфатическим сосудам, что приводит к увеличению корней и средостения. Аналогичными рентген-признаками характеризуется метастазирование рака желудка.
Как на рентгенограмме проявляется лимфангит
Лимфангит на рентгенограмме проявляется сетчатыми, петлистыми и тяжистыми тенями, которые отходят от корней в легочную паренхиму вдоль пораженных бронхов и сосудов. Вокруг воспалительных фокусов прослеживаются мелкие треугольные тени, которые отражают спадение субсегментарных участков легкого. Если лимфангит наблюдается на фоне пневмосклеротических изменений (разрастание соединительной ткани), расшифровать изменения на рентгенограмме сложнее.

При появлении милиарного карциноза легких на снимках прослеживаются мелкие тени, которые по размеру не превосходят просяное зерно. Такие рентген-признаки метастазов напоминают милиарный туберкулез.
Псевдопневмоническая форма характеризуется появлением фокусов уплотнения, которые по структуре напоминают пневмонию (не имеют четких границ и постепенно переходят в легочную паренхиму).
Рентгенологические признаки множественных метастазов:
- фокусные или крупноочаговые тени разбросаны по легочным полям;
- локализуются преимущественно в периферических отделах;
- мелкоочаговая диссеминация является последствием распространения раковых клеток по кровеносным сосудам;
- единичные тени встречаются редко. Они редко достигают в диаметре более 10 см;
- полости в проекции теней свидетельствуют о распаде ткани.
В заключение необходимо заметить, что прогноз для жизни пациента при позднем выявлении раковых метастазов на рентгене плохой. Онкологические заболевания по причине смертности в стране стоят на первом месте. Поздняя диагностика зависит не столько от квалификации врача-рентгенолога, сколько от запоздалого обращения человека за медицинской помощью.

Легочная ткань не имеет болевых рецепторов, поэтому патологические изменения в ней не приводят к неприятным ощущениям и дискомфорту. Люди обращаются к врачу только при появлении одышки или мокроты с кровью. Такие проявления наблюдаются на 3-й стадии рака, когда радикальное лечение провести невозможно.
Давайте внимательно относиться к своему здоровью и выполнять ежегодно профилактическую рентгенографию. Это позволит своевременно выявить патологию и спасти жизнь. Когда на рентгене будут наблюдаться метастазы в легких, врачам сложно будет вам помочь.
Частые вопросы
Какие признаки метастазов в легких можно обнаружить на рентгеновском снимке?
На рентгеновском снимке метастазы в легких могут проявляться в виде одного или нескольких округлых или овальных теней, чаще всего с четкими контурами. Также могут наблюдаться участки уплотнения или инфильтрации, а также изменения в структуре легочной ткани.
Какие виды метастазов в легких можно выявить на рентгеновском снимке?
На рентгеновском снимке можно выявить различные виды метастазов в легких, такие как солитарные метастазы (одиночные), множественные метастазы, крупные метастазы, мелкие метастазы, а также метастазы с характерными признаками определенных видов рака.
Полезные советы
СОВЕТ №1
При изучении рентгеновских снимков легких на предмет метастазов обратите внимание на наличие одиночных или множественных теневых образований, которые могут быть признаком метастазов.
СОВЕТ №2
Изучите различные виды метастазов в легких на рентгене, такие как солитарные, множественные, кавернозные и др., чтобы более точно распознавать их на снимках.
СОВЕТ №3
Обратите внимание на изменения в структуре легких, возможные признаки компрессии бронхов или сосудов, что может свидетельствовать о наличии метастазов.

