Современные способы проведения рентгенографии зубов, описание снимков
Для современного врача-стоматолога очень большое значение имеет возможность выполнения рентгенологического исследования у пациента. Сегодня
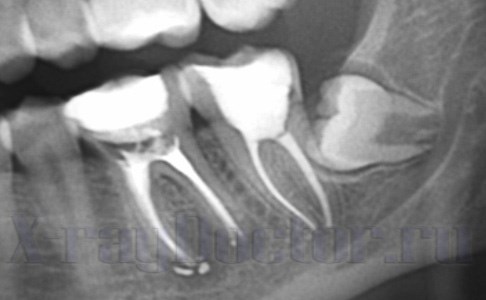
Признаки кисты зуба на рентгенограмме
Достаточно часто стоматологу в своей практике приходится сталкиваться с обнаружением кисты зуба. Малые ее
Рентген челюсти и челюстного сустава — что показывает, когда делают ребенку и взрослому
Рентген челюсти – простому человеку такое определение ничего не говорит. Для травматолога, стоматолога и
Что видно на рентгеновских снимках челюсти и молочных зубов у детей
Рентген зубов у детей (дентальный) проводится чаще, чем у взрослых. Популярность рентгенографии в стоматологии обусловлена
Что нужно знать при выполнении рентгена зубов при беременности и грудном вскармливании
Рентген зуба при беременности и грудном вскармливании вызывает опасение у женщин. Ниже в статье
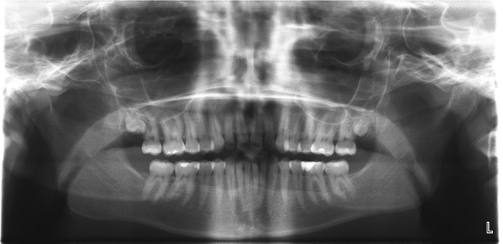
Как и зачем делают панорамный рентгеновский снимок зубов
На одном снимке получается совместное изображение нижней и верхней челюсти. Круговое изображение показывает состояние
Трехмерный рентген зубов (3d) — показания, вредность, фото снимков
Термин «3d» означает трехмерное пространство. При применении современного рентгенологического цифрового оборудования стоматология получила возможность
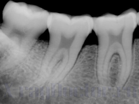
Как увидеть пульпит и кариес на рентгеновских снимках
Пульпит на снимке определяется затемнением в центральной и нижней части зуба. Заболевание характеризуется воспалительными
Как увидеть гранулирующий периодонтит на рентгене
Гранулирующий периодонтит на рентгене определяется как наслоение в периапикальной области. При патологии образуются свищи
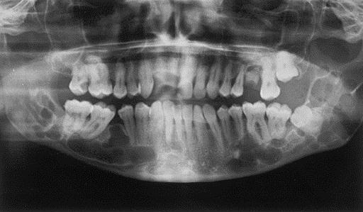
Рентген ОПГ — зачем делается, что показывает
Ортопантомография (рентген ОПГ, ОПТГ, панорамный снимок зубов) – разновидность диагностического рентгенологического исследования. Этот метод
Частые вопросы
Какие основные функции выполняют зубы?
Зубы выполняют несколько основных функций, включая разрывание и размельчение пищи, поддержание формы лица, а также помощь в произношении звуков.
Какие проблемы могут возникать со зубами?
Среди наиболее распространенных проблем со зубами можно выделить кариес, зубной налет, пародонтит, а также косметические дефекты, такие как неправильное расположение зубов или их окрашивание.
Полезные советы
СОВЕТ №1
Регулярно чистите зубы два раза в день, используя мягкую зубную щетку и фторсодержащую пасту. Это поможет предотвратить образование зубного налета и кариеса.
СОВЕТ №2
Посещайте стоматолога не реже двух раз в год для профилактических осмотров и профессиональной чистки зубов. Раннее выявление проблем поможет избежать серьезных заболеваний полости рта.
СОВЕТ №3
Избегайте употребления слишком сладких и кислых продуктов, которые могут негативно влиять на эмаль зубов. Вместо этого, употребляйте больше овощей и фруктов, богатых витаминами и минералами, необходимыми для здоровья зубов.






