Содержание
Как выглядит снимок легких здорового человека
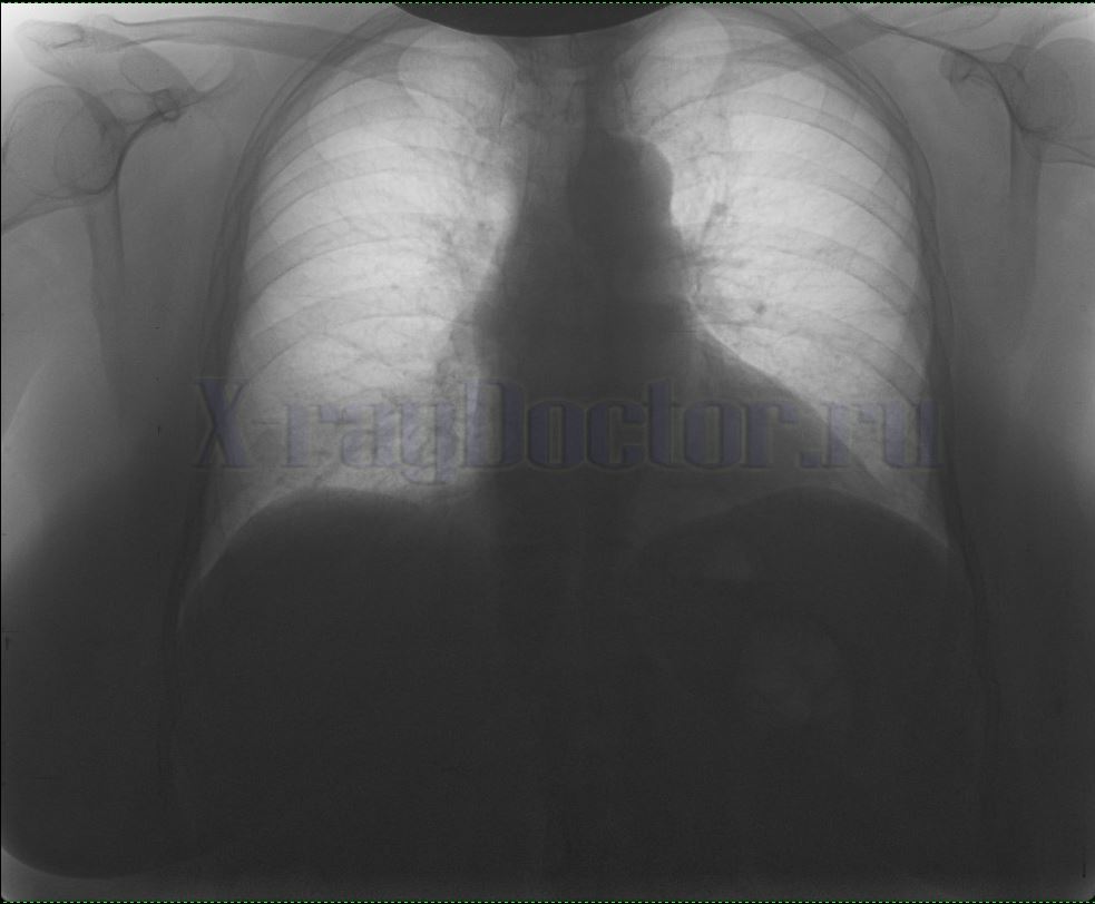
Снимок легких здорового человека выглядит типично:
- Легочные поля, расположенные с обеих сторон грудной клетки.
- Сердечная тень и грудина – в центре рентгенограммы.
- Ключица – в верхней части.
- Купола диафрагмы – снизу под легочными полями.
- Линейные тени ребер над проекцией легких.

На фото врач-рентгенолог оценивает следующие структуры:
- Мягкие ткани.
- Костно-суставная система.
- Диафрагма.
- Средостение.
- Реберно-диафрагмальные синусы.
Эти структуры по-разному выглядят на рентгенограммах в негативном и позитивном вариантах.
Следует понимать, что отсутствие на снимках легких патологических теней еще не означает, что человек здоров. При каких патологиях не наблюдаются изменения на снимках легких:
- воспалительные очаги до 2 мм в диаметре не визуализируются на рентгеновском снимке, так как метод имеет предел разрешения;
- небольшие просветления;
- мелкие затемнения при инфильтративных изменениях в бронхах;
- скопление жидкости в реберно-диафрагмальном синусе до 250 мл;
- утолщение бронхиальных стенок в толщине менее 1 мм;
- незначительные фокусные утолщения ткани.
Чего не должно быть на рентгенограмме при здоровых легких

Флюорография является скрининговым методом рентгенодиагностики. Согласно приказу Министерства здравоохранения ее выполнение обязательно для каждого человека один раз в год. С помощью флюорографии врачи обнаруживают на ранних стадиях такие заболевания, как туберкулез и рак. Конечно, рентгеновский снимок легких более информативный, но он характеризуется значительным лучевым обследованием человека, поэтому не может применяться для массового обследования населения.
Простой человек не понимает, как выглядят чистые легкие, поэтому не сможет дифференцировать нормальные и патологические тени. Множество заболеваний формируют затемнения на снимке, поэтому на них появляются «разводы» и «белые тени».
Рентген, проходя через грудную клетку, от некоторых тканей отражается, а другими поглощается. Вследствие этого на рентгенограммах формируются темные, белые и серые тени. Их сочетание между собой и обуславливает нормальную рентгеновскую картину.
Некоторая разница в отображение теней возникает из-за технических особенностей метода рентгенографии и флюорографии. При флюорографическом обследовании изображение получается с флуоресцентного экрана.
Рентген, проникая через ткани, засвечивает рентгеновскую пленку. Так формируется рентгеновский снимок.
Чего не должно быть на флюорограмме в норме:
- затемнений;
- просветлений;
- дополнительных теней.
На рисунке приведена нормальная рентгенограмма легких. Запомните ее вид. Если на снимке обнаружите дополнительные пятна, которые отличаются от вышеприведенного фото, скорее всего, такая картина будет отражать патологический процесс.
Как влияет на рентген-снимок отсеивающая решетка

Отсеивающая решетка рентген-аппарата влияет на качество снимков. Когда рентгенограммы выполняются на одном оборудовании, они имеют схожие цвета анатомических структур, поэтому врачу-рентгенологу легко выявлять патологические затемнения.
Тем не менее на одном рентген-аппарате снимки органов грудной клетки могут отличаться в зависимости от положения пациента. На вышеприведенном фото рентгенограммы выполнены одному и тому же человеку в положении стоя (а) и лежа (б).
Обратите внимание на сердечную тень и интенсивность отражения легочных полей (они отличаются по цвету). Купола диафрагмы также расположены на разных уровнях.
Рентген-картина нормальных легких формируется способностью рентгеновских лучей по-разному проходить через одни и те же ткани при разной степени их физического утолщения.
На качество рентген-снимков влияет также диагностическая аппаратура. В советские времена рентгенодиагностика проводилась на комплексе «РУМ». В таком оборудовании режимы рентгенографии выставлялись вручную с помощью регуляторов. Напряжение, силу тока и время экспозиции рентгеновских лучей регулировали рентгенолаборанты. На снимках легких, выполненных у одного человека, можно было наблюдать различие в интенсивности теней и их жесткости.
Появление современных диагностических комплексов позволило избавиться от этой проблемы. Теперь параметры экспозиции регулируются автоматически.
Частые вопросы
Какие признаки здоровых легких можно увидеть на рентген-снимке?
На рентген-снимке здоровых легких можно увидеть четкие контуры легких, отсутствие темных пятен или теней, правильное распределение сосудов и отсутствие признаков застойных явлений.
Что не должно присутствовать на рентген-снимке здоровых легких?
На рентген-снимке здоровых легких не должно быть признаков плотностных образований, теней, пятен, а также признаков воспалительных процессов или наличия жидкости в легких.
Полезные советы
СОВЕТ №1
При изучении рентген-снимка здоровых легких обратите внимание на четкость и контрастность изображения. Здоровые легкие должны выглядеть прозрачно и однородно, без темных пятен или теней.
СОВЕТ №2
Обратите внимание на позвоночник и ребра на рентген-снимке. Они должны быть четкими и отчетливо видны, без признаков деформации или изменений, что также свидетельствует о здоровье легких.



